Морфология
Степень изменений ткани печени может быть разной – от перипортального фиброза до выраженного крупноузлового цирроза. Концентрация меди в ткани печени, в норме составляющая 16–30 мкг на 1 г сухой ткани, у больных достигает 3000 мкг/г еще до появления клинических и патоморфологических признаков болезни. Накопление меди в печени, закономерно наблюдаемое при холестазе любой этиологии, никогда не превышает 200 мкг/г, а уровень церулоплазмина плазмы у большинства этих больных нормальный.
В почках – жировые и гидронические изменения, отложения меди в проксимальных извитых канальцах.
Накопление меди в ЦНС сопровождается симметричным размягчением ткани головного мозга в области оболочки чечевидного ядра, часто с образованием кистозных полостей, иногда с размягчением хвостатого ядра, таламуса и коры мозга.

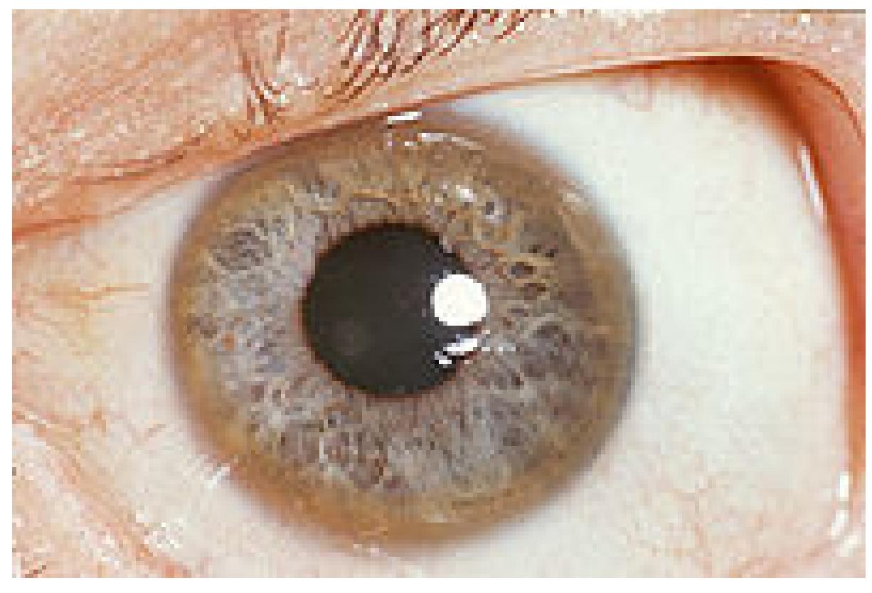
Кольцо Кайзера-Флейшера образуется при отложении содержащего медь пигмента в десцементовой оболочке по периферии задней поверхности роговицы. Если церулоплазмин в сыворотке меньше 20 мг/дл, то кольцо есть, если больше 20 мг/дл – кольца нет.
Более 800 000 книг и аудиокниг! 📚
Получи 2 месяца Литрес Подписки в подарок и наслаждайся неограниченным чтением
ПОЛУЧИТЬ ПОДАРОК