12.4. Лазеротерапия в лечении желчнокаменной болезни
Желчнокаменная болезнь – достаточно распространенное заболевание: после 40 лет камни в желчном пузыре находят у 32 % женщин и у 16 % мужчин. В основе образования конкрементов в желчном пузыре лежит нарушение равновесия между стабилизаторами желчи (желчные кислоты и лецитин-мицелий) и количеством растворенных веществ (карбонат кальция, билирубин и холестерин), что связывают с хроническими нарушениями функций гепатоцитов и снижением эвакуаторной способности желчного пузыря. При наличии камней в желчном пузыре в 30 % случаев отмечают инфицирование желчи. Желчнокаменная болезнь может сопровождаться воспалением стенки желчного пузыря. На сегодняшний день не существует весомых альтернатив оперативному лечению желчнокаменной болезни (холецистэктомии), показанному еще и в связи со снижением (вплоть до тотального) сократительной способности стенки желчного пузыря, его эвакуаторной способности и, в случае эндоскопического удаления конкрементов, крайне высокой вероятности образования их вновь. Однако неудовлетворенность результатами радикального хирургического лечения данной патологии всегда физиологически оправдана.
Выбор низкоэнергетического лазерного излучения в качестве средства воздействия в лечении патологий гепатобилиарной системы обусловлен данными многочисленных лабораторных и клинических исследований, доказывающих эффективность использования низкоэнергетических лазеров в лечении данной группы патологий.
При этом применение неинвазивных (прежде всего – чрескожного) методов лазерного воздействия, на наш взгляд, более перспективно и логично, особенно если учесть высокую проникающую способность лазерного излучения в биологические ткани и простоту проведения таких процедур. Не менее важно отсутствие каких-либо субъективных ощущений у больного во время подобных сеансов лазеротерапии. Следует сказать, что использование транскутанных методов лазерного воздействия предъявляет специфические требования к лазерной медицинской аппаратуре. Более эффективным оказывается применение галий-арсенидовых низкоэнергетических медицинских лазерных аппаратов с матричными излучателями и большой площадью (до 8–20 см2) излучающей поверхности [С. Е. Павлов, 1998, 1999].
В нашем исследовании был использован матричный терапевтический лазерный аппарат импульсного действия с 6 галий-арсенидовыми излучателями и площадью излучающей поверхности 12 см2. В качестве метода воздействия было выбрано сочетанное использование методов полизонального транскутанного лазерного воздействия на сосудисто-нервные сплетения [Кузнецова Т. Н., Павлов С. Е., 1997; Павлов С. Е., 1998, 1999] и лазерного воздействия на анатомические проекции печени (правой доли) и желчного пузыря (рис. 26). Суммарные и зональные дозы лазерного воздействия варьировались на протяжении курса лечения в связи с прогностическим моделированием терапевтического результата на основе динамики состояния больного. Длительность курса определялась возрастом и состоянием больного, клинической картиной заболевания, количеством и размерами конкрементов и не была ограничена общепринятыми временными рамками проведения курса физиотерапевтических процедур.
Этапные результаты данного исследования представлены на примере больной Т. Ф-ко, 37 лет, мастера спорта по плаванию, готовившейся к плановому хирургическому лечению по поводу желчнокаменной болезни, осложненной хроническим холециститом.
Перед началом курса лазеротерапии больная предъявляла жалобы на общее нарушение самочувствия, чувство тяжести и постоянные тянущие боли в правом подреберье, диспепсические расстройства. Больная на протяжении длительного времени пользовалась болеутоляющими, спазмолитическими и ферментными препаратами. Проведенное ультразвуковое исследование выявило деформацию и эхо-признаки воспаления стенки желчного пузыря, наличие конкремента в желчном пузыре, расширение печеночных желчных протоков. Неподвижность конкремента при смене положений тела больной свидетельствовало о его спаянности со стенкой желчного пузыря. Максимальный размер конкремента в исходном (до начала курса лазеротерапии) ультразвуковом исследовании составил 18,3 мм (рис. 27).
В условия проводимого исследования не входило прекращение приема фармакологических препаратов, ранее назначенных гастроэнтерологом в качестве симптоматического лечения. Тем не менее больная уже после второго сеанса лазеротерапии самостоятельно отказалась от приема всех ранее принимавшихся регулярно лекарственных средств в связи с полным отсутствием уже на этой стадии лечения болевого синдрома, нормализацией функций кишечника, улучшением общего состояния. На протяжении 2,5 недель ежедневного лазерного воздействия по предложенной нами схеме со стороны больной отсутствовали какие-либо жалобы на самочувствие. Незначительные транзиторные болевые ощущения были отмечены больной лишь к концу 3-й недели лазеротерапии, накануне контрольного ультразвукового исследования.
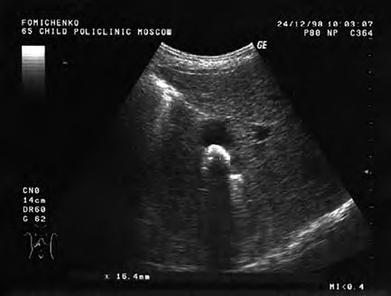
Ультразвуковое исследование, выполненное примерно через три недели проведения ежедневных лазеротерапевтических процедур, выявило уменьшение эхо-признаков воспалительной реакции в стенке желчного пузыря, абсолютную подвижность и незначительное уменьшение размеров конкремента: максимальный размер – 16,4 мм. При этом отмечено некоторое изменение эхо-структуры конкремента (рис. 28).

Рис. 27. Исходные (до начала курса лазеротерапии) данные ультразвукового исследования желчного пузыря больной Т. Ф-ко

Рис. 28. Контрольное (второе) ультразвуковое исследование желчного пузыря больной Т. Ф-ко
На последующем двухнедельном этапе лечения разовые зональные и, соответственно, суммарная дозы лазерного воздействия были снижены вдвое по сравнению с дозами, использовавшимися на начальном этапе. На протяжении всего второго этапа лечения, вопреки ожидаемому (в связи с подвижностью конкремента), отмечено полное отсутствие болевого синдрома, отсутствие жалоб больной на функцию пищеварительного тракта и общее самочувствие, даже на фоне эпизодического грубого нарушения диеты.
Данные последующего (третьего) ультразвукового исследования выявили практическое отсутствие эхо-признаков воспалительного процесса стенки желчного пузыря, сохранение его подвижности и уменьшение его максимального размера до 11,2 мм (рис. 29). Ультразвуковое исследование после пищевой нагрузки свидетельствовало о некоторой гиперкинетичности стенки желчного пузыря (сокращение объема желчного пузыря до 1/2 от исходного). Отмечено отсутствие динамики (по сравнению с предыдущими исследованиями) величины просвета печеночных желчных протоков. Сохранялась деформация стенок желчного пузыря, что несколько осложнило определение его объемов.
Наблюдение за пациенткой в течение последующих двух недель во время перерыва в курсе лечения позволило отметить полное отсутствие болевого синдрома и субъективно (со слов больной) – стабилизацию общего состояния на удовлетворительном уровне.
Предварительные результаты представленного исследования органично укладываются в гипотезу о возможности обратного развития отдельных патологических процессов в организме человека при условии адекватного изменения состояния внутренней среды организма. Предполагается, что сроки деструкции конкремента в желчном пузыре при создании соответствующих условий адекватны срокам его формирования и, не исключено, напрямую связаны, в том числе, с длительностью индивидуального, генетически обусловленного периода адаптации организма к изменениям (в связи с лечебным воздействием), в данном случае – в гепатобилиарной системе организма. Таким образом, можно думать, что длительность курса физиотерапевтического (и, возможно, не только физиотерапевтического) лечения (при безошибочном выборе средств и методов воздействия) не должна ограничиваться общепринятыми в физиотерапии временными рамками и определяется сроками адаптации организма больного к изменяющимся в процессе лечения условиям существования его организма.

Рис. 29. Этапное (третье) ультразвуковое исследование желчного пузыря больной Т. Ф-ко
Результаты исследования не противоречат данным многочисленных исследований о возможности использования эффектов взаимодействия лазерного излучения с организмом человека в терапии воспалительных процессов стенки желчного пузыря. Вместе с тем нам хотелось бы еще раз акцентировать внимание на том обстоятельстве, что в данном исследовании были использованы исключительно неинвазивные, чрескожные методы лазерного воздействия.
Восстановление сократимости стенки желчного пузыря после курсового лечения с использованием низкоэнергетического лазера открывает дополнительные позитивные перспективы в разработке новых сочетанных методов лечения данного заболевания. Следует помнить, что уменьшение размеров конкремента в процессе лазеротерапии (при его абсолютной подвижности) увеличивает риск его «вклинивания» в ductus choledochus. Поэтому есть основания предполагать, что наиболее перспективно в практическом плане – сочетанное использование органосохраняющего эндоскопического хирургического метода (холецистостомия с эвакуацией конкрементов) и чрескожной лазеротерапии. Такой сочетанный органосохраняющий и менее травматичный вариант лечения желчнокаменной болезни может явиться весомой альтернативой широко применяющейся холецистэктомии. Тем не менее, даже невзирая на недостаточность клинического опыта консервативного лечения желчнокаменной болезни с использованием низкоэнергетических лазеров, представленные результаты свидетельствуют о возможности развития такого направления в клинике.
Более 800 000 книг и аудиокниг! 📚
Получи 2 месяца Литрес Подписки в подарок и наслаждайся неограниченным чтением
ПОЛУЧИТЬ ПОДАРОК