Методы диагностики
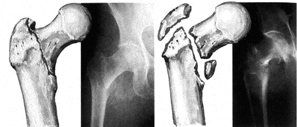
Для оценки состояния кости используется рентгенография, которой располагает практически каждое лечебное учреждение. Однако рентгенологически можно оценить плотность костной ткани только при потере более 30 % костной массы, когда на рентгеновских снимках появляется крупнопетлистый рисунок кости, истончение кортикального слоя и подчеркнутость его краев (рис. 6.4).
Остеопороз в позвонках характеризуется изменением трабекулярного рисунка (повышение прозрачности тел позвонков), истончением замыкательных пластинок суставных впадин и повышенной их контрастностью. При прогрессировании остеопороза трабекулярный рисунок претерпевает патологическую перестройку: уменьшается количество горизонтальных костных балок.

Рис. 6.4. Диагностика остеопороза
Несущие основную механическую нагрузку вертикальные трабекулы сохраняются и создают вертикальную исчерченность. Некоторые из вертикальных балок могут утолщаться, горизонтальные склонны полностью исчезать. При дальнейшем прогрессировании остеопороза трабекулярный рисунок становится невидимым; в этом случае речь идет о «пустом» теле позвонка.
Деформация тел позвонков является результатом микропереломов трабекул и возникает чаще всего в нижней трети грудного отдела позвоночника. Признаком компрессионного перелома тела позвонка считается уменьшение его высоты, появление клиновидной или двояковогнутой деформации («рыбьи» позвонки). Исследование костей таза позволяет оценить изменения в тазобедренных суставах, шейке бедра и костях таза.
В настоящее время для ранней диагностики остеопороза используются различные методы костной денситометрии, позволяющие выявить уже 2–5 % потери массы кости, оценить динамику плотности костной ткани в процессе развития заболевания или эффективность лечения.
Для диагностики применяются следующие методы денситометрии:
? одно- и двухфотонная денситометрия (вводится радиоактивный изотоп в костную ткань и регистрируется излучение от него, на основании чего измеряется плотность распределения изотопа, которая будет пропорциональна плотности кости, таким образом вычисляется объемная плотность кости в г/см3). Однофотонная, как и моноэнергетическая, денситометрия позволяет исследовать периферические отделы скелета. Эти методы наиболее подходят для скрининга остеопороза или предварительного диагноза;
? одно- и двухэнергетическая рентгеновская абсорбциометрия (измеряется плотность участка костной ткани в г/см2). Одноэнергетическая абсорбциометрия позволяет определить только плотность костной ткани в одном участке скелета (чаще в дистальном отделе предплечья). Лучевая нагрузка при исследовании данным методом очень низка и позволяет использовать его без соответствующего помещения. Двухэнергетическая рентгеновская абсорбциометрия (ДЭРА) применяется для измерения МПКТ осевого скелета (поясничные позвонки и проксимальный отдел бедренной кости) и периферических участков. Двухэнергетическая рентгеновская абсорбциометрия считается золотым стандартом среди методов костной денситометрии. Метод позволяет провести раннюю диагностику остеопении и остеопороза (при потере костного вещества 2–5 % и более) на любом участке скелета. Также можно выявить содержание солей кальция, жира и мышечной массы во всем организме, динамическую количественную оценку МПКТ в процессе развития заболевания, осуществить контроль эффективности лечения;
? количественная компьютерная томография позволяет измерять объемную плотность (г/см3) губчатой ткани поясничных позвонков. Основным преимуществом данного метода является возможность селективного анализа губчатой и компактной кости. Метод позволяет оценивать состояние позвонков у тучных больных с нарушениями обмена. Недостатки метода: неприемлемо высокая суммарная лучевая нагрузка при длительном динамическом наблюдении, трудности при исследовании костей периферического скелета;
? ультразвуковая денситометрия. В зависимости от используемого прибора позволяет оценивать состояние различных костей (большеберцовой, пяточной) по скорости распространения ультразвуковой волны.
Стандартными (автоматическими) программами для денситометров являются программы для поясничных позвонков, проксимальных отделов бедра, костей предплечья и программа «Все тело».
В то же время необходимо иметь в виду, что остеоденситометрия, являясь узкоспециализированным исследованием, позволяет лишь косвенно судить о насыщенности костной ткани минеральными солями, определяющими механическую прочность костей. Сама по себе она не дает возможности диагностировать другие заболевания скелета и не заменяет классического рентгенологического исследования. Она лишь оценивает МПКТ и динамику ее изменения. Контрольная динамическая денситометрия проводится обычно через 9–12 месяцев.
Выбор участков костной ткани для проведения денситометрии является важным моментом в исследовании. Чтобы сделать этот выбор, необходимо помнить о том, что в костной ткани имеются два разных слоя. Компактный (кортикальный) слой вносит основной вклад в прочность кости, но характеризуется невысокой скоростью метаболических процессов. Губчатый (трабекулярный) слой, напротив, весьма активен в плане обмена веществ и реагирует на дефицит половых гормонов.
Отмечено, что разные виды остеопороза по-разному сказываются на этих двух слоях. При преимущественном поражении трабекулярного вещества развивается постменопаузальный, гипогонадальный, стероидный остеопороз; при поражении кортикального вещества – сенильный, гипертиреоидный, гиперпаратиреоидный, диабетический остеопороз.
При многих видах остеопороза наблюдается тенденция постепенного его распространения от осевого скелета (прежде всего позвонков), где появляются первые признаки заболевания, к периферическому. Поэтому, учитывая чрезвычайную ценность ранней диагностики остеопороза, в целом следует отдать предпочтение исследованию осевого скелета.
Интерпретация результата исследования. После стандартного выполнения исследования производится автоматическое сравнение полученного результата исследования с базой данных, заложенных в приборе, по следующим показателям:
? нормальная пиковая костная масса (Т-масштаб) – сравнение измеренной плотности проводится со средним значением МПКТ для того возраста, в котором МПКТ в исследуемом участке скелета максимальна;
? возрастная норма (Z-масштаб) – сравнение проводится со средним значением МПКТ в данном участке скелета для возраста больного.
В обоих случаях результат представляется в процентах к соответствующему среднему значению МПКТ, которое принимается за 100 %, или в единицах стандартных отклонений (SD). Результаты сравнения в динамике представляются в процентах изменения за период между наблюдениями и как скорость изменения в процентах в год.
По Т-критерию оценивается выраженность остеопении или остеопороза (по отношению к МПКТ у здоровых людей) по рекомендациям ВОЗ:
? развивающийся остеопороз: МПКТ ниже среднего значения пиковой костной массы у молодого здорового человека более чем на 2,5 SD, имеются переломы;
? остеопороз: МПКТ ниже среднего значения пиковой костной массы у молодого здорового человека более чем на 2,5 SD;
? низкая костная масса (остеопения): МПКТ в пределах 1–2,5 SD от среднего значения пиковой костной массы у молодого здорового человека;
? норма: МПКТ не более 1 SD от среднего значения пиковой костной массы у молодого здорового человека.
В референтных кривых, используемых в современных денситометрах, отклонение 2 SD (Т-масштаб) соответствует примерно 80 % пиковой костной массы.
Методы лабораторной диагностики основываются на характеристике кальций-фосфорного обмена и кальцийрегулирующих гормонов и на определении биохимических маркеров костеобразования и резорбции, морфологических показателей состояния метаболизма в костной ткани.
К методам лабораторной диагностики относят также определение содержания кальция, фосфора, щелочной фосфатазы в сыворотке крови, суточной экскреции кальция и фосфора с мочой, концентрации креатинина, определение гидроксипролина в моче.
Более 800 000 книг и аудиокниг! 📚
Получи 2 месяца Литрес Подписки в подарок и наслаждайся неограниченным чтением
ПОЛУЧИТЬ ПОДАРОК