КЛИНИКА

Клиника поражения околосуставного аппарата отлична от клинической картины поражения суставов.

Характерной особенностью периартритов является спонтанная боль, иногда очень сильная, усиливающаяся при активном движении, тогда как пассивное движение с помощью врача менее болезненно.

Боли при периартритах возникают или усиливаются при движениях в определенном направлении, связанном с пораженным сухожилием, в то время как боль вследствие поражения самого сустава появляется при движении во всех направлениях. Если при периартритах боли возникают лишь при активных движениях, а пассивные движения остаются безболезненными, то при артритах, как и при артрозах, и активные, и пассивные движения вызывают боль.

При осмотре пациента с воспалением периартикулярных тканей в месте инсерции сухожилия либо расположения синовиальной сумки видна локальная, четко ограниченная припухлость округлой или веретенообразной формы, что более рельефно выявляется при движении, вызывающем напряжение пораженного сухожилия. Пальпация этой области ограниченно болезненна. В то же время при артритах наблюдают диффузную припухлость сустава и болезненность при пальпации всего сустава, максимальную по ходу суставной щели.

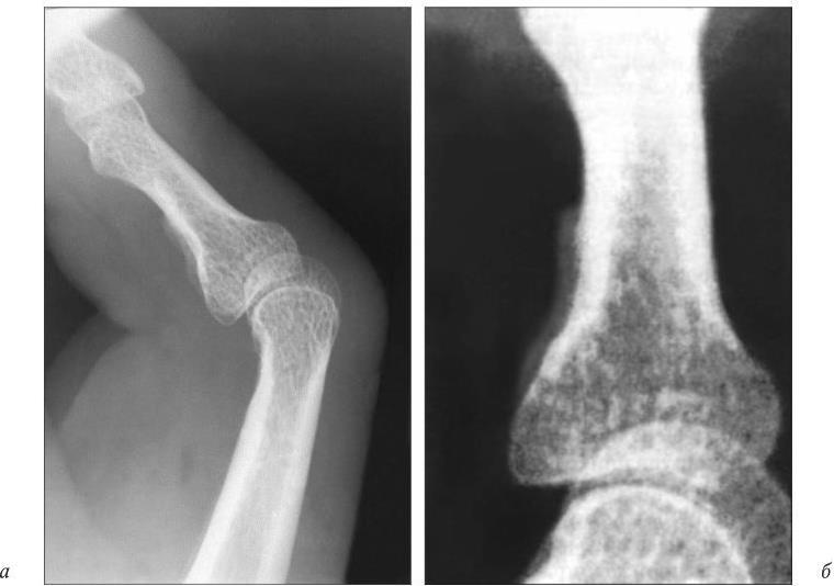
Диагноз периартрита может быть подтвержден рентгенологически. На рентгенограммах, лучше при микрофокусной рентгенографии с прямым увеличением изображения (наиболее отчетливо при трехкратном усилении), можно выявить отек мягких тканей в области инсерции сухожилия, а также неравномерное разрастание периоста там же (рис. 27).

Тепловизионное исследование больных с бурситами или тендовагинитами обнаруживает в периартикулярных тканях коленных, лучезапястных, локтевых суставов, в области возвышения большого пальца кисти асимметричные, четко очерченные округлые очаги гипертермии (см. рис. 28, 29).

Рис. 27. Рентгенограмма IV пальца правой кисти больного с контрактурой Дюпюитрена. 4-кратное увеличение рентгеновского изображения:

а — виден отек мягких тканей и контрактура. Неравномерное разрастание периоста в области инсерции сухожилия; б — деталь рентгенограммы. Более отчетливо представлено разрастание периоста

Наиболее часто диагностируют плечелопаточный периартрит, который может развиться как вследствие хронической травмы плечевых суставов (у кузнеца, плотника, волейболиста), так и быть следствием нейротрофических влияний при шейном остеохондрозе. Плечелопаточный периартрит — синдром, характеризующийся болями и скованностью в плечевом суставе. Частота — 80 % всех случаев болезненности плечевого сустава. Преобладающий возраст — старше 40 лет. Преобладающий пол — мужской.

Частое поражение этой области объясняют анатомическими и функциональными особенностями сухожилий мышц так называемого второго плечевого сустава или, иначе, «вращающей манжеты плеча». Больных беспокоит боль, возникающая или усиливающаяся при отведении руки или ее вращении. Пациент не может поднять руку вверх, заложить ее за спину. Остальные движения в плече свободны и безболезненны. Нередко боли возникают в положении лежа на больном плече. Характерно усиление боли в плече в ночное время. Чаще асимметричность, типично правостороннее поражение (у правшей). Исследование поражения периартикулярных тканей плечевого сустава включает активные движения и активные резистивные движения (движения против сопротивления): «руки за голову», «руки за спину», «болезненная дуга». Движения затруднены в разной степени при поражении.

Различают несколько форм плечелопаточного периартрита, которые могут наблюдаться изолированно и в различных сочетаниях. Простой тендинит (простое болезненное плечо). Характерны локальные боли в области плечевого сустава, усиливающиеся при определенных движениях.

Наиболее часто поражена надостная мышца, что связано с травматизацией при движениях ее сухожилия, проходящего в узкой щели между плечевым отростком лопатки и головкой плечевой кости. Реже — бурситы прилегающих серозных сумок — субакромиальной (располагающейся между плечевым отростком лопатки и «вращающей манжетой»), субдельтовидной (реже).

При наиболее частом тендините надостной мышцы болезненно отведение плеча более чем на 60°. При этом выявляют симптом Дауборна: вначале отведение руки малоболезненно, затем на ограниченном участке (70–90°) боли резко усиливаются, а при дальнейшем отведении руки уменьшаются (временное сдавление сухожилия между акромионом и головкой плечевой кости). При отведении разогнутой в локте руки — болевой сектор, соответствующий 45 — 135° абдукции, свидетельствующий о поражении либо надостной мышцы, либо субакромиальной сумки. Болезненность при отведении в плечевом суставе на фоне оказываемого врачом противодействия отведению — поражение сухожилия надостной мышцы.

Отсутствие болезненности при описанном выше отведении на фоне сопротивления — субакромиальный бурсит.

Боль при наружной ротации плеча, совершаемой на фоне противодействия движению, — поражение сухожилий подостной и/или малой круглых мышц.

Боль при внутренней ротации плеча, совершаемой на фоне противодействия, — поражение сухожилия подлопаточной мышцы.

Боль при сгибании в локте на фоне противодействия движению, супинация кисти — признаки поражения двуглавой мышцы плеча.

При осмотре передней или передне-, задненаружной поверхности плеча на фоне гипотрофии мышц, особенно выраженной в старческом возрасте, заметны сглаживание контуров плеча при наличии бурсита поддельтовидной сумки или локальная припухлость в местах инсерции сухожилий.

При осмотре сзади отчетливо видна изолированная атрофия мышц, вызываемая в пожилом возрасте даже локальным периартикулярным поражением (надостной мышцы и др.).

Пальпация выявляет болезненные точки в местах инсерции сухожилий. На передней поверхности головки плеча определяют болезненность при поражении сухожилия бицепса. На передне-, задненаружной поверхности выявляют болезненные точки при бурсите субакромиальной сумки. Под акромиальным отростком обнаруживают болезненность при субдельтовидном бурсите.

В отличие от других форм плечелопаточного периартрита, при простом тендините пассивные движения в плечевом суставе возможны в полном объеме, рентгенологических изменений мягких тканей плеча обычно не находят, СОЭ не увеличена.

Кальцифицирующий тендобурсит (острое болезненное плечо) возникает при реактивном воспалении сумок плечевого сустава, вызываемом кальцификатами сухожилий мышц «вращающей манжеты плеча». Характерна остро возникающая боль в области плечевого сустава и значительное ограничение как активных, так и пассивных движений в нем. Боли обычно сильные, с широкой зоной иррадиации (шея, надплечье, рука). При осмотре можно выявить локальную припухлость в области расположения пораженных сумок. При рентгенографии выявляют обызвествление сухожилий или сумок плечевого сустава. Может быть несколько увеличена СОЭ.

Склерозирующий капсулит (блокированное плечо) характеризуется прогрессирующей тугоподвижностью плечевого сустава при умеренных болях. Может быть исходом предшествующих простого или (чаще) кальцифицирующего тендинитов. Специфических рентгенологических изменений нет, лишь при контрастной артрографии может быть выявлено сморщивание капсулы плечевого сустава.

Синдром «плечо — кисть» (алгодистрофический синдром руки) характеризуется наличием диффузного болезненного отека кисти, помимо той или иной указанной выше формы плечелопаточного периартрита. Истинные причины изменений кисти неясны, их связывают с поражением вегетативных нервных волокон или их центров. Процесс нередко двусторонний, хотя более выражен, как правило, с одной стороны. Вслед за появлением болей или ограничением движений в плечевом суставе (или одновременно с этим) развивается диффузный болезненный отек соответствующей кисти, иногда с распространением на предплечье, сопровождающийся цианозом, потерей чувствительности. Значительно нарушена функция всей руки, особенно кисти (движения в локтевом суставе сохранены полностью). Довольно быстро возникает диффузный пятнистый остеопороз, иногда эрозии костей кисти. В дальнейшем постепенно боли в плече и отек кисти уменьшаются, однако ограничение движений в плечевом суставе, а также дистрофические изменения кисти (сухая гладкая кожа, атрофия мышц, сгибательные контрактуры пальцев, остеопороз, потеря складчатости, гипергидроз кожи) нередко остаются надолго.

Течение плечелопаточного периартрита различно — от нескольких недель до нескольких месяцев. Исход также различен — от полного выздоровления (даже без лечения) до развития картины блокированного плеча, а при синдроме «плечо — кисть» — также и нарушений функции кисти.

В пожилом возрасте плечевой периартрит нередко имеет рецидивирующий характер. При недостаточной эффективности лечения может сформироваться хронический анкилозирующий плечелопаточный периартрит («блокированное плечо») или обызвествление сухожилия, сумки. Подобные осложнения легко могут быть определены при рентгенографии.

Периартрит локтевого сустава в пожилом возрасте чаще является следствием профессиональных перегрузок в прошлом (шахтер, штукатур) или спортивных перегрузок (у бывших теннисистов). Периартрит в области локтя может явиться следствием перенесенных травм уже в старшие годы.

При латеральном (наружном) эпикондилите, так называемом «локте теннисиста», находят воспаление сухожилия разгибателя кисти и/или супинатора предплечья. Типичны боли в области наружной поверхности локтя при разгибании и вращении предплечья. Боль иррадиирует по наружной поверхности предплечья до кисти. При пальпации максимальную болезненность определяют в области самого надмыщелка. Может быть снижена сила пораженной конечности. При рентгенографии находят явления периостита, оссификацию сухожилий вблизи наружного надмыщелка.

Медиальный (внутренний) эпикондилит, или эпитрохлеит, нередко встречающийся у бывших игроков в гольф, в пожилом возрасте обусловлен изменением сухожилий сгибателя кисти, пальцев и одной из головок круглого пронатора предплечья. В пожилом возрасте также диагностируют его у лиц, ранее выполнявших однотипные мелкие движения кистью (машинистки, вязальщицы). Боли возникают при сгибании и вращении предплечья, иррадиируют вниз по его сгибательной поверхности. Максимально выраженная болезненность локализована в области внутреннего надмыщелка.

Бурсит локтевого сустава нередко сопутствует воспалительным артритам (ревматоидному, псориатическому, анкилозирующему спондилоартриту). Осложняется бурситом также отложение конгломератов уратов в локтевую сумку при подагре. Причиной бурсита могут быть травма области локтевого сустава (синовиальная сумка расположена поверхностно между кожей и локтевым отростком), а также микротравмы при перенапряжении локтевого сустава (резчики по дереву, граверы).

В начале заболевания боль при бурсите хорошо локализована и обычно не возникает при активных и резистивных движениях в локтевом суставе. Она может появляться при опоре локтем на стол или при сгибании локтевого сустава в плотной одежде. В дальнейшем бурсит легко распознают по четко очерченной округлой опухоли в области локтя.

При подагрическом бурсите сумка бывает буквально нафарширована крупными круглыми конгломератами уратов, легко пальпируемыми через кожу.

При слабой эффективности терапии, рецидивах бурситов возможны организация фибрина, появление «рисовых телец», кальцификатов, утолщения стенки сумки, а также отложение в ней извести. Среди периартритов лучезапястного сустава наиболее частым является лучевой стилоидит — тендопериостит сухожилия длинного супинатора предплечья. Патология развивается у людей, профессионально испытывавших постоянное напряжение руки, чаще правой (маляр, станочник при работе с рычагами). Характерным симптомом для этой патологии является боль в области шиловидного отростка лучевой кости, локализующаяся выше внутреннего края лучезапястного сустава. Боль усиливается при вращении руки. При осмотре выявляют отечность этой области. Пальпация шиловидного отростка болезненна. На рентгенограммах обнаруживают периостит, истончение кортикального слоя, остеопороз шиловидного отростка.

Теносиновит разгибателя кисти часто является следствием травмы. Разгибание руки вызывает боль. Объективно выявляют припухлость над запястьем, несимметричную, с неровным контуром, которая распространена больше в дистальном направлении, в сторону пястных костей. В отличие от выпота при артрите лучезапястного сустава, теносиновиальная припухлость при разгибании согнутых пальцев смещается в проксимальном направлении вместе с сухожилием, а ее дистальная граница приподнимается (симптом «складки», «уступа») (Доэрти М., Доэрти Д., 1993). При пальпации области поражения определяют болезненность и, возможно, крепитацию.

При теносиновите сгибателей больные жалуются на боли и ограничение движений при сгибании кисти. Осмотр выявляет припухлость проксимальнее складки лучезапястного сустава или между дистальной складкой ладони и основанием пальца, а иногда между кожной складкой ладони и основанием пальца (рис. 28) с болезненностью области поражения при пальпации.

У пожилых людей, в прошлом испытывавших значительную нагрузку на I палец (часовщики, резчики по кости, волейболисты), можно диагностировать рецидивирующий теносиновит аддуктора и разгибателя I пальца кисти с возможными фиброзными изменениями, ограничивающими объем его движений. Больных беспокоит боль при движении I пальца, которая может иррадиировать в область предплечья. При осмотре выявляют отечность области тенора, болезненность при отведении и разгибании пальца. Это заболевание легко диагностировать на теплограмме кисти, где отчетливо видны очаги гипертермии в области возвышения I пальца (рис. 29).

Поражение первого связочного канала может привести к стенозирующему тендовагиниту (болезни де Кервена). Сужение I канала тыльной связки запястья ведет к сдавлению сухожилий и их влагалищ. При разгибании и отведении I пальца возникает боль в области шиловидного отростка лучевой кости. При осмотре выявляют локальную болезненность вдоль латерального края дистального отдела лучевой кости, сопровождаемую припухлостью мягких тканей. Возможно повышение температуры этой области. При пассивном сгибании кисти пациента в локтевую сторону возникает значительная боль (симптом Финкельштейна).

В ряде случаев у людей, работа которых была связана с выраженной нагрузкой, микротравматизацией ладонной поверхности кисти (плотники, машинисты кранов, бульдозеров), в пожилом возрасте развивается контрактура Дюпюитрена. Это — хроническое рецидивирующее заболевание соединительной ткани с перерождением ладонного апоневроза в фиброзную ткань, что сопровождается образованием контрактуры пальцев. Часто эта патология встречается у лиц, злоупотреблявших алкоголем, страдающих сахарным диабетом. Постепенно фиброзные изменения апоневроза распространяются на кожу, сухожильные влагалища и связочно-сумочный аппарат, однако сухожилия в процесс не вовлечены. В начальной стадии заболевания можно обнаружить безболезненные подкожные уплотнения в виде горошин в поперечных складках ладони, «ладонные узелки», нередко принимаемые за омозолелость. В дальнейшем развивается сморщивание кожи с утолщением ладонной фасции, уплотнением и укорочением сухожильных влагалищ. Ранее всего сгибательная контрактура формируется в IV и V пальцах в пястно-фаланговых и проксимальных межфаланговых суставах, преимущественно правой кисти. Несмотря на выраженные морфологические изменения, процесс протекает без болей. Отсутствует также болезненность при пальпации пораженной области.

Синдром запястного канала возникает при тендовагините сгибателей пальцев кисти и стенозирующем лигаментите поперечной ладонной связки запястья. Причиной его может быть травма этой области, развитие ганглиев, липом. В связи с развитием фиброзных изменений происходит сдавление ветки срединного нерва, что сопровождается резкими, жгучими болями в I–III пальцах и лучевой поверхности IV пальца кисти со снижением их чувствительности, силы кисти. Возникают также трофические расстройства кожи и атрофия мышц. Боли усиливаются при сгибании и разгибании кисти, при подъеме руки. Осмотр обнаруживает припухлость и болезненность лучезапястного сустава в лучевой части на ладонной поверхности его. Отчетлива атрофия мышц тенора. Если после лечения иммобилизацией симптомы заболевания не исчезают, могут развиться стойкие контрактуры.

Существенно нарушает жизненный стереотип людей периартрит тазобедренного сустава (трохантерит). К воспалению сухожилий средней или малой ягодичной мышцы в местах прикрепления к большому вертелу бедренной кости обычно присоединяются воспаления близлежащих сумок — бурситы. Способствуют развитию процесса ожирение, сидячий образ жизни, а также перегрузка сухожилий ягодичных мышц вследствие изменений статики (ампутация, различная длина нижних конечностей, сколиоз, кифоз, лордоз). Больных беспокоят приступообразные, возникающие после значительной физической нагрузки, длительной ходьбы боли по наружной поверхности ягодицы в области тазобедренного сустава, иррадиирующие в бедро. Во время приступа все движения в суставе ограничены, после его окончания ограничено только вращение вовнутрь и отведение бедра. Осмотр выявляет припухлость в зоне большого вертела, болезненность при надавливании на него. При наличии бурсита обнаруживают припухлость по передневнутренней поверхности бедра, ниже паховой складки. Бурсит необходимо дифференцировать с бедренной грыжей. Последняя обычно расположена медиально по отношению к артерии. Рентгенологически при периартрите можно обнаружить обызвествление сухожилия у верхнего края большого вертела, кальцификаты вблизи него. При длительном трохантерите иногда возникает синдром «пружинящего», «щелкающего» бедра вследствие утолщения и фиброза широкой фасции бедра, мешающей движению сустава. При периартрите тазобедренного сустава, в отличие от артрита или артроза, сгибание и приведение бедра безболезненны. Кроме того, отсутствует болезненность в области этого сустава при нагрузке на конечность по длине.

Рис. 28. Локализация припухлостей при теносиновитах сгибателей (по: М. Доэрти, Д. Доэрти, 1993)

Рис. 29. Теплограмма верхних конечностей больного с клиническими проявлениями тендовагинитов больших пальцев

Очаги гипертермии в области возвышения больших пальцев, более интенсивные слева

Периартрит коленного сустава часто встречается в виде тендинита или тендобурсита сухожилий полусухожильной и полуперепончатой мышц, а также поверхностного преднадколенникового бурсита. В старшем возрасте периартриты и бурситы коленного сустава возникают у бывших велосипедистов, хоккеистов, грузчиков и шоферов в связи со значительной перегрузкой, микротравматизацией коленных суставов. Способствуют развитию заболевания в пожилом возрасте увеличение массы тела, малоподвижный образ жизни в сочетании с эпизодическими перегрузками суставов на фоне атрофии мышц нижних конечностей.

Периартриты проявляют себя болью в коленном суставе при ходьбе, особенно при спуске с лестницы. Осмотр коленного сустава выявляет припухлость в месте инсерции сухожилий. Поверхностный преднадколенниковый бурсит представлен в виде четко очерченной округлой или веретенообразной припухлости сразу под надколенником. Пальпация мест прикрепления сухожилий болезненна. Ниже и выше медиального отдела суставной щели выявляют нижнюю и верхнюю энтезопатии медиальной коллатеральной связки. Рядом с нижней энтезопатией этой связки определяют болезненность при воспалении гусиной сумки. Последняя сопровождается припуханием, гиперемией с контуром, напоминающим перепончатую лапку гуся. Этот бурсит часто встречается именно в пожилом возрасте. Над головкой малоберцовой кости сзади, по ее наружной поверхности, выявляют болезненность при нижней и верхней энтезопатиях латеральной коллатеральной связки. В зависимости от локализации связок возникает болезненность при активных резистивных движениях в определенных направлениях. Бурситы или тендиниты коленного сустава могут быть объективизированы с помощью тепловизионного исследования. В периартикулярных тканях коленных суставов на теплограммах выявляют асимметричные, четко очерченные очаги гипертермии (рис. 30).

Рис. 30. Теплограмма нижних конечностей больного с клиническими проявлениями бурсита в правом коленном суставе

В области периартикулярных тканей коленного сустава видны округлые очаги гипертермии

В пожилом возрасте периартикулярные поражения коленного сустава необходимо дифференцировать с синдромом Гука. Он представляет собой жировую инфильтрацию околосуставной ткани у тучных, а иногда и у худых людей, чаще женщин. При этом синдроме выявляют увеличение сустава и околосуставных тканей тестоватой консистенции с местами уплотнений на фоне атрофированных мышц конечностей. Жировая подушка максимально выступает с внутренней стороны сустава, может иметь болезненные края над или под суставной щелью коленного сустава.

Вызывает затруднение дифференциация периартритов коленного сустава с синдромом Гоффа — посттравматическим липоартритом (Астапенко М. Г., 1989). Для последнего характерны небольшие боли в коленном суставе и болезненная припухлость по обеим сторонам связки надколенника.

Посттравматический синдром Пеллегрини — Штиды проявляется оссификацией околосуставных тканей в области внутреннего мыщелка. Это можно диагностировать по наличию очень плотной опухоли и болей при движении в коленном суставе. Рентгенологическое исследование обнаруживает рентгеновскую тень полулунной формы у верхнего края медиального мыщелка бедра.

Наиболее частым периартритом стопы является ахиллодиния. Ахиллово сухожилие формируется из соединений сухожилий медиальной и латеральной головок икроножной, а также сухожилий камбаловидной мышцы. Прикрепляясь к пяточной кости, оно отделено от нее преахилловой сумкой, а от кожи — ретроахилловой сумкой. Между кожей и нижней поверхностью пяточной кости локализована подпяточная сумка. В пожилом возрасте патологию находят у бывших артистов балета, спортсменов-легкоатлетов, футболистов, испытывавших микроразрывы и/или разрывы сухожилия при травматизации его. Вследствие травм ахиллова сухожилия возникает тендопериостит с переходом воспаления на сумки. Все эти взаимосвязанные процессы обозначают термином «ахиллодиния».

Больных беспокоят боли и ограничение определенных активных движений икроножной мышцы и ее сухожилия, а также боли в области пятки при опоре на нее и при сгибании подошвы (талалгии). Движения в голеностопном суставе резко ограничены. Подъем стопы над площадью опоры осуществляется за счет сгибания в коленном и тазобедренном суставах. Пациенты хромают из-за уменьшения времени опоры на пораженную конечность и преимущественной нагрузки на передний отдел стопы. Объем пассивных движений в голеностопном суставе не ограничен. Осмотр пораженной области выявляет уплотненное, болезненное сухожилие (ахиллит), а также припухшие, болезненные синовиальные сумки под и/или над сухожилием, под пяткой (ахиллобурсит) (Астапенко М. Г., 1989). В местах инсерции сухожилия на рентгенограмме определяют периостит и экзостозы, «шпоры», а также возможны утолщение и кальцификация мягких околосуставных тканей. Если ахиллодиния первична, голеностопный сустав интактен. При симптоматическом поражении сухожилия (гонорея, ревматоидный артрит, анкилозирующий спондилоартрит, деформирующий остеоартроз) могут быть выявлены и свойственные основному заболеванию изменения в суставе.

Дифференциальная диагностика периартритов с неосложненным периартикулярным процессом, ревматоидным артритом и остеоартрозом представлена в табл. 17.

Таблица 17

Дифференциальная диагностика периартритов с неосложненными ревматоидным артритом и остеоартрозом

Более 800 000 книг и аудиокниг! 📚

Получи 2 месяца Литрес Подписки в подарок и наслаждайся неограниченным чтением

ПОЛУЧИТЬ ПОДАРОК