ЛУЧЕВАЯ ДИАГНОСТИКА ОСТЕОПОРОЗА

Основным методом диагностики ОП является лучевая диагностика.

Для диагностики ОП проводят следующие исследования (Мурзин Б. Л., 1998):

· Череп в боковой проекции.

· Кисть в ладонной проекции.

· Грудной и поясничный отделы позвоночника в двух проекциях.

· Задняя рентгенограмма таза и проксимальных отделов бедренных костей.

Перестройка костной структуры при ОП сопровождается ее разрежением, т. е. уменьшением количества костной ткани в единице объема кости при ее нормальном химическом составе. Заметим, что при ОП имеет место нормальная минерализация редуцированного остеоидного матрикса. Костные трабекулы истончаются, они уменьшаются в количестве, иногда происходят их микропереломы. Увеличены в объеме костномозговые ячейки. Размеры костей при ОП остаются без изменений. Прежде всего рассасываются блоки, не являющиеся основными в отношении функциональной нагрузки (Коухен Р. Д., 1990).

Рентгенологически для ОП характерно (Зедгенидзе Г. А., Жарков П. Л., 1984):

· Появление крупнопетлистого рисунка кости в связи с истончением и разрушением костных балок и увеличением объема костномозговых ячеек.

· Расширение костномозгового канала в результате истончения кортикального слоя со стороны костномозгового канала.

· Спонгиозирование кортикального слоя в связи с частичным разрушением коcтных пластинок — резкой подчеркнутостью контуров кортикального слоя всей кости.

По распространенности ОП подразделяют на:

— местный (ограниченный);

— регионарный (в пределах одной области);

— распространенный (захватывает все кости конечности, более резко выражен в дистальных отделах);

— системный (разрежение костной структуры во всех костях скелета).

Именно системный ОП типичен в престарческом и старческом возрастных периодах (Зедгенидзе Г. А., Жарков П. Л., 1984). При старческом ОП наблюдают рентгенологически диффузный ОП, в отличие от очагового (пятнистого) ОП, быстро развивающегося после острого воспаления, термических или электрических травм.

Многочисленные исследования костей с помощью методик нейтронного активационного анализа содержания общего кальция, двойной фотонной абсорбциометрии, компьютерной томографии и денситометрии рентгеновских снимков подтверждают неравномерность и диспропорциональность потери костной массы при старческом ОП как по площади, так и во времени. Скорость потери костной массы выражена более интенсивно в губчатом веществе тел позвонков (преимущественно в средних и нижних грудных), а также в поясничном отделе (наиболее часто на уровне Th12 и L1), костях таза, ребер, черепа, а в дальнейшем — в шейках бедренной, плечевой и дистальных отделах лучевых костей.

Рентгенологически ОП выявляют уже тогда, когда утрачено 25–45 % нормального объема костного вещества. Наличие ОП в позвоночнике не вызывает сомнения в тех случаях, когда тела позвонков по своей плотности приближены к межпозвоночным дискам. При ОП рентгенологически находят резкую очерченность всех элементов костной структуры и непрерывность замыкающих пластинок, их извилистость. При выраженном ОП появляются так называемые рыбьи позвонки, позвонки трески. Это происходит вследствие вдавления межпозвоночными дисками верхней и нижней замыкающих пластинок поверхностей позвонков. Межпозвоночные диски увеличены в размерах и приобретают форму двояковыпуклых линз. Тела позвонков выглядят «стеклянными». Высота тел позвонков уменьшена преимущественно в переднем отделе, но иногда и на всем протяжении. Позвонок виден в виде пластинки небольшой толщины. Чаще бессимптомные переломы укорачивают переднюю половину тела позвонка, обусловливая его клиновидную деформацию. Вертикальные трабекулы тел позвонков сохраняются намного дольше горизонтальных, вследствие чего на рентгенограммах определяют вертикальную исчерченность тел позвонков.

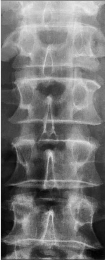
Рис. 5. Рентгенограмма позвоночника больной с остеопорозом. Прямая проекция

Тела позвонков по своей плотности приближены к межпозвоночным дискам. Резкая очерченность всех элементов костных структур

Помимо ОП, старческие изменения позвоночника проявляются дегенерацией дисков и хрящей мелких его суставов. Ввиду значительной потери влаги в ядре диска, он теряет свои главные физиологические свойства — эластичность и напряжение, что приводит к постепенному разрушению студенистого ядра, затем фиброзного кольца и замыкающих пластинок. В диски проникают сосуды и соединительная ткань, вокруг которой образуется молодая остеоидная ткань, постепенно замещающая разрушенную часть диска. Вслед за дегенерацией диска наступают вторичные изменения в телах позвонков в виде субхондрального склероза, реактивного новообразования костной ткани и синостоза передних тел позвонков. Рентгенологически определяют «клювовидные» разрастания по краям тел позвонков. Эти же процессы вызывают окостенение прилегающей передней продольной связки и частичное анкилозирование мелких суставов. Все это приводит к ограничению движений в позвоночнике.

С возрастом происходит уменьшение высоты тел позвонков как по передней поверхности, так и посредине. Снижение высоты посредине выражено более значительно. Отмечена тенденция к увеличению переднезаднего размера тел позвонков (их длины). Уменьшен индекс — отношение высоты посредине к длине. Если в 25 лет он равен 85, то в 60–70 лет — 78 (Рохлин Г. Д. [и др.], 1986). Рентгенограмма с выраженными старческими изменениями позвоночника представлена на рис. 5.

В костях периферического скелета при ОП прежде всего страдает губчатое вещество: исчезают отдельные трабекулы, преимущественно те, которые несут меньшую функциональную нагрузку. Напротив, трабекулы, расположенные по силовым линиям наибольшей нагрузки на кость, становятся толще и кажутся подчеркнутыми. На этом фоне четко выглядят как бы прорисованные карандашом замыкающие пластинки эпифизов и диафизов.

ОП в кортикальном слое проявляется истончением и спогиозированием, т. е. расслоением на продольные параллельные пластинки. По данным Г. Д. Рохлина [и др.] (1986), у большинства обследованных женщин уменьшена толщина кортикального слоя ключиц. В 25 — 40-летнем возрасте она составляет 2,8 мм, в 60–70 лет — 2,1 мм. У 60 % обследованных людей старческого возраста выявляют ОП в проксимальном отделе бедренной кости: истончение костных пластинок, ориентированных вдоль силовых линий растяжения. Уменьшен шеечно-диафизарный угол тазобедренного сустава. В костях кистей при старении наблюдают истончение кортикального слоя и костных пластинок губчатого вещества, ориентированных параллельно длиннику кости и расположенных в основании фаланг и пястных костей.

В настоящее время для диагностики ОП наиболее информативно определение минеральной плотности костной ткани методом рентгеновской денситометрии (Спиртус Г. Д. [и др.], 1997).

Норма МПКТ — снижение в пределах одного стандартного отклонения (SD) от среднего значения молодого человека (референсного значения).

Остеопения — снижение МПКТ > 1 SD.

Остеопороз — снижение МПКТ > 2,5 SD от референсного значения.

Тяжелый остеопороз — снижение МПКТ > 2,5 SD от референсного значения в сочетании с одним или несколькими переломами костей (Насонов Е. Л. [и др.], 1997).

Инструментальные методы:

· Рентгенография костей скелета:

— ограниченное значение (изменения на снимках только при значительном снижении МПКТ — 30 % и более, опыт рентгенолога);

— роль в диагностике переломов в первую очередь позвонков — рентгеноморфометрия.

· «Золотой стандарт» — двухэнергетическая рентгеновская абсорбциометрия (денситометрия) — ранняя диагностика.

· Ультразвуковая денситометрия — менее точный метод (для скрининговых исследований).

· Количественная компьютерная томография.

По данным Л. И. Беневоленской (2005), показания к денситометрии:

— женщины в возрасте 65 лет и старше;

— женщины в менопаузе в возрасте до 65 лет с факторами риска;

— мужчины в возрасте 70 лет и старше;

— взрослые лица с переломами при минимальной травме в анамнезе;

— взрослые с заболеваниями и состояниями, приводящими к снижению костной массы;

— взрослые, принимающие препараты, снижающие костную массу;

— мониторинг эффективности проводимой терапии ОП.

Более 800 000 книг и аудиокниг! 📚

Получи 2 месяца Литрес Подписки в подарок и наслаждайся неограниченным чтением

ПОЛУЧИТЬ ПОДАРОК