ДИАГНОСТИКА

В I стадии выявляют околосуставной остеопороз. Несомненно, это еще не достоверный признак РА, так как околосуставной остеопороз свойствен многим системным соединительнотканным заболеваниям (системной красной волчанке, системной склеродермии и др.). Помогают уточнению синовиального воспаления потеря дифференцировки структуры мягких тканей, наличие их отека, а также утолщение и уплотнение капсулы сустава. При достоверном РА можно выявить предстадию эрозирования в виде локального истончения кортикальной костной пластинки, сопровождаемую субкортикальной деминерализацией (Розенгауз Е. В., 1993).

Во II стадии возникают отчетливые достоверные признаки РА. На фоне околосуставного остеопороза определяют краевые костные дефекты (эрозии, узуры), расположенные субпериостально у кромки суставного хряща в зоне сустава. Эрозии имеют форму плавной кривой с нечеткими контурами. Они не окружены зоной склероза, что позволяет отличить краевые эрозии от кист, как это видно при рентгенографии с прямым многократным увеличением. Во II стадии часто наблюдают сужение суставной щели вследствие расплавления, гибели суставного хряща (рис. 15, 16).

В III стадии околосуставной остеопороз резко выражен. На рентгенограммах с прямым увеличением изображения можно определить исчезновение костной ткани, трабекул (см. рис. 13). Одновременно видны множественные глубокие краевые дефекты костной ткани с размытыми краями, расположенные в зоне сустава. В III стадии всегда имеет место сужение суставной щели (см. рис. 13; 15; 16; 17).

При использовании метода амплитудного рельефа можно отметить слабовыраженный трабекулярный рисунок, что отражает наличие остеопороза. Эрозии видны в виде кратерообразных углублений, четких дефектов костной ткани (см. рис. 17).

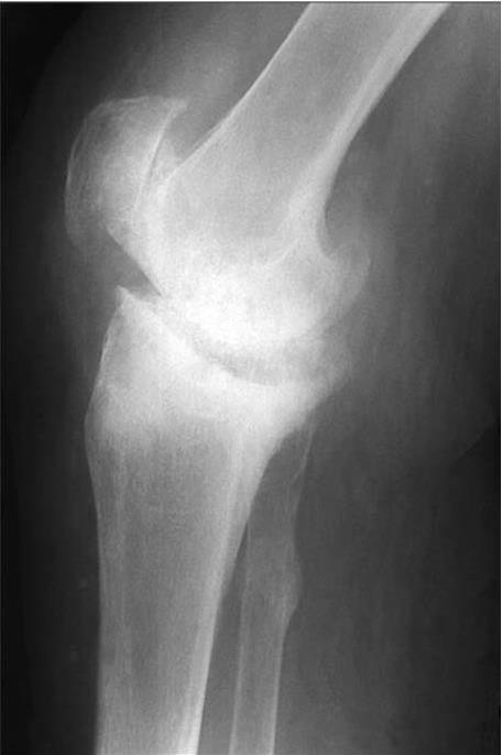
Достоверным признаком IV стадии РА является исчезновение суставной щели вследствие прорастания ее новообразованной костной тканью на фоне остеопороза и наличия на уровне бывшей суставной щели краевых дефектов (рис. 18).

Деструкцию при РА у 75 % больных обнаруживают в первые два года болезни. Первые эрозии выявляют сначала на латеральной поверхности головки V плюсневой кости, затем на медиальных поверхностях головок II–IV плюснефаланговых суставах стоп. В кистях — на шиловидном отростке локтевой кости, в суставе гороховидной кости, позднее — во II–V проксимальных межфаланговых и пястнофаланговых суставах. Костные и мягкотанные повреждения при РА необратимы (Яременко О. В., 2010).

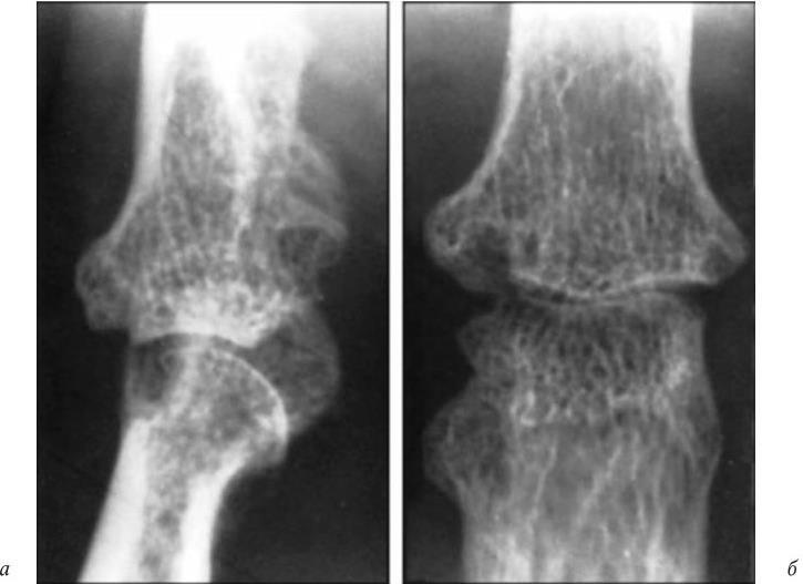
Рис. 15. Рентгенограмма коленных суставов больной со II стадией РА:

а — головка большеберцовой кости имеет ровные округлые контуры; б — в коленном суставе видна четкая краевая деструкция, узурация эпифиза большеберцовой кости

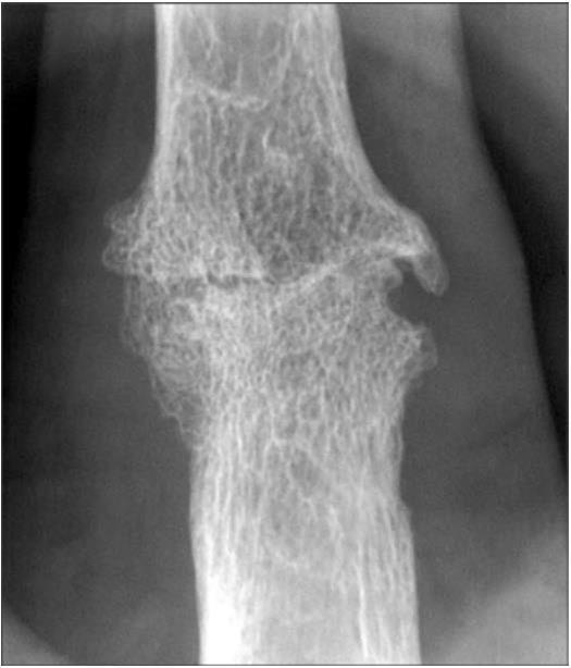
Рис. 16. Рентгенограмма пястно-фалангового сустава больной РА, III стадия, 6-кратное увеличение рентгеновского изображения

Глубокие краевые дефекты костной ткани, деструкция костной ткани в головке и основании пястно-фалангового сустава (а — боковая проекция; б — прямая проекция)

Рис. 17. Рентгенограмма пястно-фалангового сустава больной РА, III стадия, боковая проекция сустава, 6-кратное увеличение рентгеновского изображения:

а — необработанное изображение. Резко выраженный диффузный остеопороз с исчезновением костной ткани, трабекул, множественные глубокие краевые дефекты костной ткани (эрозии) с размытыми краями, исчезновение суставной щели; б — обработка методом амплитудного рельефа. Метод амплитудного рельефа объемно выявляет помимо слабовыраженного трабекулярного рисунка эрозии (узуры) в виде кратерообразных ступенчатых углублений

Рис. 18. Рентгенограмма коленного сустава больного, IV стадия РА

На боковой проекции рентгенограммы обращает на себя внимание отсутствие суставной щели. Костные балки прорастают в смежные отделы сустава

Магнито-резонансная томография (МРТ) позволяет обнаружить изменения в мягких тканях, включая паннус, синовит, истончение хряща, тендовагиниты, а также очаговый отек кости (как предвестник эрозий) или эрозии, в том числе в трудно визуализируемых при рентгенографии суставах (например, в суставах запястья). Допплеровское ультразвуковое исследование суставов способствует визуализации синовита и тендовагинита, паннуса, который выглядит как гроздевидное утолщение синовиальной оболочки до 4–6 мм с усиленной васкуляризацией (Яременко О. В., 2010).

Классический IgМ-РФ выявляется у 30–35 % больных с системной красной волчанкой и системной склеродермией, 20 % больных с дерматомиозитом, узелковым полиартериитом и болезнью Бехтерева, 10–15 % больных с псориатическим артиритом, болезнью Рейтера, сифилисом, туберкулезом, саркоидозом, хроническим активным гепатитом. Недавно внедрен в клиническую практику новый иммунологический тест — определение антител к циклическому цитруллинированному пептиду (анти-ЦЦП), что значительно повысило эффективность лабораторной диагностики РА на ранних стадиях, чувствительность анти-ЦЦП при диагностике РА составляет 70–80 %, специфичность — 98–99 % (van Venronij W. J., 2002; Zedman A. J., 2004).

РА почти всегда сопровождает анемия, обусловленная активным воспалительным процессом с дефицитом железа и фолиевой кислоты, а также влиянием лекарственных препаратов. В ряде случаев, при сочетании РА с увеличением селезенки, анемией, тромбоцитопенией и нейтропенией, чаще встречаемых при длительном течении заболевания, диагностируют синдром Фелти. Он может сопровождаться потерей массы тела, генерализованным увеличением лимфатических узлов, тяжелым поражением суставов, внесуставными проявлениями — легочным фиброзом, кератитом, гиперпигментацией кожи и язвами голеней. Его течение вариабельно и непредсказуемо: иногда наблюдают спонтанные ремиссии (Варне К., 1990).

Течение РА в виде рецидивирующей фебрильной лихорадки, артрита и макулопапулезной сыпи с высокой лабораторной активностью и серонегативностью по РФ рассматривают как болезнь Стилла взрослых (Насонов Е. Л., 2006).

Симптомокомплекс, связанный с аутоиммунным поражением секретирующих эпителиальных слюнных и слезных желез и развитием сухого кератоконъюнктивита и паренхиматозного сиалоаденита при РА рассматривают как синдром Шегрена (Talal N. [et al.], 1987). Инфильтрация мононуклеарными клетками секретирующих эпителиальных желез — основной морфологический признак болезни Шегрена (Daniels T. [et al.], 1992).

Распространение лимфоидной инфильтрации на другие органы и ткани приводит к развитию системных проявлений различной степени тяжести, нередкой трансформации в лимфопролиферативные заболевания (Ramos-Casals M. [et al.], 2005).

Ни один лекарственный препарат не увеличивал риск развития лимфомы. Напротив, инъекции кортикостероидных гормонов в пораженные суставы способствовали снижению риска рака, т. е. оказывали защитное действие.

Риск развития лимфомы связан с высокой долговременной активностью РА, и «агрессивная» тактика лечения может снизить воспалительный процесс, соответственно уменьшив риск развития рака лимфатической ткани.

Длительно текущий РА может осложняться амилоидозом и септическим артритом со всеми последствиями сепсиса. Это отмечают преимущественно при лечении кортикостероидными препаратами. При переходе в старшую возрастную группу РА теряет свою агрессивность. Больных меньше беспокоят скованность и отечность суставов, хотя пролиферативные изменения, анкилозирование лучезапястных и других суставов сохранены. Подвывихи пястно-фаланговых, плюснефаланговых, коленных суставов могут быть больше выражены из-за нарастающей атрофии мышц. Нередко возникают узелки Гебердена вследствие осложнения РА вторичным деформирующим остеоартрозом. В пожилом возрасте преобладает минимальная активность ревматоидного процесса или умеренная с редкими обострениями и длительными ремиссиями.

В периферической крови сдвиги незначительные: небольшое увеличение СОЭ, нет лейкоцитоза, исчезает из крови РФ. Отмечена меньшая склонность к нарастанию деструкции костной ткани. Периоды обострения неплохо поддаются терапии НПВП, хинолиновыми производными. Чаще такое течение РА наблюдают у женщин при наступлении климактерического или постклимактерического периода, а также у пациентов, не употреблявших длительно глюкокортикоиды или иммунодепрессанты.

РА, развившийся в пожилом возрасте на фоне ОА, также протекает доброкачественно. К периодическим болям в суставах, типичным для ОА, которые возникают после значительной перегрузки суставов, с характерными узелками Гебердена в дистальных межфаланговых суставах, присоединяются постоянные боли и отечность в проксимальных межфаланговых, пястно-фаланговых суставах. Боли возникают или нарастают при любом движении в суставе, сопровождаются длительной скованностью (около 1 ч) по утрам или после сна в любое время суток. В клинической картине превалирует суставной синдром. При присоединении РА к ОА в крови наблюдают увеличение СОЭ, анемию, увеличение гамма-глобулинов. Редко выявляют лейкоцитоз, РФ. Активность РА при этой форме умеренная или низкая. Проведение терапии успешно, можно получить длительную ремиссию.

Рентгенография выявляет при этой форме, наряду с остеофитами, околосуставной остеопороз, немногочисленные эрозии. На рис. 19 представлена рентгенограмма больной пожилого возраста (сочетание ОА и РА). Можно видеть как окостеневающую хондроидную ткань (остеофиты), так и резко выраженное, не свойственное ОА разрежение костной ткани и краевые дефекты костей — эрозии.

Рис. 19. Рентгенограмма проксимального межфалангового сустава II пальца правой кисти. Сочетание ОА и РА. Прямое 7-кратное увеличение рентгеновского изображения. Диффузный остеопороз

Неравномерное сужение суставной щели с истончением, разрушением замыкающей костной пластинки, местами анкилоз. Краевые поверхностные дефекты костной ткани с размытыми краями. Наряду с этим окостеневающая хондроидная ткань, разрастающаяся по краям суставной щели, крупный остеофит

Вследствие атрофии мышц, свойственной старшим возрастам, при сочетании ОА и РА можно часто наблюдать развитие подвывихов суставов (ульнарную девиацию, вальгусную деформацию конечностей).

РА, впервые возникший у людей старше 60 лет, чаще протекает тяжело (Keitel W., 1993; Zeidler H., 1994). По мнению Я. А. Сигидина [и др.] (1994), это может быть объяснено возрастным ослаблением функции Т-системы иммунитета с утратой адекватного контроля над аутоиммунными процессами. Среди заболевших РА в возрасте старше 60 лет меняется соотношение женщин и мужчин. Если в молодом и среднем возрасте женщины болеют РА чаще мужчин в 3–5 раз, то среди заболевших в пожилом возрасте мужчины составляют 42 % (Сатыбалдыев А. М. [и др.], 1994).

При возникновении РА в пожилом возрасте максимально выражены воспаление, число пораженных суставов, суставной и функциональный индексы, а также скорость появления эрозий (Emery P., Salmon M., 1995). В преморбидном состоянии больных беспокоит астенизация, раздражительность, адинамия, небольшое похудание и беспричинная лихорадка, в основном в виде субфебрилитета. Характерны мигрирующая артралгия, миалгия, скованность, отмечаемая в любое время суток после сна и продолжающаяся не менее 60 мин, потливость. Затем присоединяется полиартрит с выраженной отечностью суставов, симметричным их поражением, чаще мелких суставов кистей, лучезапястных, коленных, локтевых, реже — других суставов, атрофия мышц кистей и предплечий. Потеря массы тела от 3–5 до 10–12 кг в первые 3–5 мес. у 89 % больных. У 11 % — в дебюте заболевания развитие лихорадочного варианта (Сатыбалдыев А. М. [и др.], 1994).

Из-за скованности, мышечной атрофии, резкого болевого синдрома значительно страдает функция суставов. Чаще всего высокая (II–III степени) активность процесса: у 79 % — III степени, у 16 % — II степени, у 4 % — I степени (Сатыбалдыев А. М. [и др.], 1994). Ускорены СОЭ до 45–60 мм/ч, анемия. Уже в первые месяцы часто выявляют в крови РФ в высоких титрах. Рентгенологически рано находят околосуставной остеопороз, сужение суставной щели. Через 4–6 мес. после начала заболевания обнаруживают эрозии, нередко множественные. Процесс быстро прогрессирует, резистентен к лечению даже кортикостероидами. Характерны относительно быстрая генерализация суставного поражения, частые обострения с лихорадочным синдромом. Рано возникают контрактуры в крупных суставах, снижение динамометрии. Довольно часто обнаруживают ревматоидные узелки. Иногда они расположены в легких, сердце, вызывая соответствующую клинику. Ввиду возможности паранеопластических артритов в пожилом возрасте необходимо тщательное онкообследование этой группы больных (Emery P., Salmon M., 1995). По данным Т. Ф. Акимова [и др.] (1991), при значительной длительности заболевания у больных этой группы в 20 % случаев возникает амилоидоз, который нередко приводит к смерти. В то же время авторы подчеркивали, что через 5 лет после начала заболевания у 18 % заболевших отмечена стойкая ремиссия, что свидетельствует о неоднородности течения РА в группе заболевших в старшем возрасте.

Диагностические признаки РА (Насонова В. А., Астапенко М. Г., 2002):

1. Утренняя скованность (в суставах или вокруг них), продолжающаяся по крайней мере в течение 1 ч.

2. Артриты 3 суставов и более (покраснение и/или припухлость), отмеченные врачом.

3. Артриты суставов кисти (по крайней мере одного в области запястья, пястно-фалангового или проксимального межфалангового).

4. Симметричный артрит (проксимальных межфаланговых суставов).

5. Ревматоидные узелки.

6. РФ в сыворотке крови.

7. Рентгенологические изменения, типичные для РА (эрозии, околосуставной остеопороз в кистях и запястьях).

При наличии 4 критериев (1, 3, 6 и 7) диагноз РА достоверный. Критерии с 1-го по 4-й должны сохраняться, по крайней мере, в течение 6 нед.

Критерии Американской ревматологической ассоциации (АРА)

Диагностика ревматоидного артрита представляет большие трудности в основном в начале заболевания. В это время суставной синдром часто не имеет еще типичных для ревматоидного артрита признаков и нередко принимается за проявление других болезней, и наоборот.

Для диагностики в настоящее время используют диагностические критерии Американской ревматологической ассоциации (АРА):

• утренняя скованность;

• боль при движении или пальпации, по крайней мере в одном суставе;

• отечность периартикулярных мягких тканей или наличие выпота в полости сустава, но не костные деформации;

• припухание другого сустава. Период полного отсутствия суставных симптомов до появления этого признака не должен превышать 3 мес.;

• симметричность припухших суставов. В случаях поражения проксимальных межфаланговых, пястно-фаланговых суставов допускается отсутствие строгой симметричности;

• наличие подкожных узелков в области естественных костных утолщений, разгибательных поверхностей конечностей или периартикулярно;

• рентгенографические изменения, характерные для ревматоидного артрита. Они должны включать, по крайней мере, околосуставной остеопороз при отсутствии дегенеративных изменений. Однако наличие дегенеративных изменений еще не исключает диагноз ревматоидного артрита;

• наличие ревматоидного фактора;

• рыхлый муциновый сгусток при исследовании синовиальной жидкости;

• характерные гистологические изменения синовиальной оболочки с наличием, по крайней мере, трех из следующих пяти признаков:

— значительная гипертрофия ворсин;

— пролиферация кроющих клеток, часто палисадорасположенных вокруг отложений фибрина;

— значительная лимфоидная инфильтрация с формированием ревматоидных узелков;

— отложения фибрина на поверхности или в глубине ткани;

— участки некроза;

• характерные гистологические изменения подкожных узелков: образование гранулем с центрально расположенным некрозом, окруженным частоколом макрофагов и лимфоидными клетками.

В соответствии с этими критериями выделяют классический РА, определенный, вероятный. Кроме наличия этих критериев, для установления диагноза РА необходимо исключить другие заболевания суставов и заболевания, в клинике которых встречается суставной синдром. К ним относятся: системная красная волчанка; узелковый периартериит с сегментарным некрозом артерий и узелками, лейкоцитарной инфильтрацией по ходу сосудов и тенденцией к включению в ее состав большого количества эозинофилов; дерматомиозит, склеродермия; ревматизм с мигрирующим поражением суставов и эндокардитом; подагра с острыми приступами опухания, гиперемии и болей в одном или более суставах, тофусами; острый инфекционный артрит бактериальной или вирусной природы с наличием острого очага инфекции или близкой связи с заболеванием известной инфекционной природы; саркоидоз, злокачественные опухоли, псориаз, артрит при язвенном колите и сегментарном энтерите, болезнь Бехтерева, синдром плечо — кисть, гипертрофическая остеоартропатия, охроноз, узловатая эритема, множественная миелома.

Как показывает клинический опыт, на информативность указанных выше критериев оказывают влияние прежде всего длительность и быстрота прогрессирования болезни.

Недавно внедрен в клиническую практику новый иммунологический тест — определение антител к циклическому цитруллинированному пептиду (анти-ЦЦП). Это значительно повысило эффективность лабораторной диагностики РА на ранних стадиях.

Антитела к цитруллинированным белкам могут играть роль в этиологии и/или патогенезе РА.

Анти-ЦЦП и РФ являются наиболее важными лабораторными параметрами в диагностике РА на ранних стадиях.

Определение анти-ЦЦП может быть полезным не только для решения диагностических задач, но и для оценки тяжести заболевания (Alessandri C. [et al.], 2004).

Дифференциальная диагностика РА и ПОА представлена в табл. 9.

Пример диагноза.

Ревматоидный артрит, серопозитивный, быстро прогрессирующий, активность 2-й степени, стадия рентгенологических изменений III, с поражением мелких суставов кистей с ульнарной девиацией, коленных и голеностопных суставов. Нарушение функции суставов 2-й степени. Шифр М05.

Таблица 9

Дифференциальная диагностика ревматоидного артрита и первичного остеоартроза

Более 800 000 книг и аудиокниг! 📚

Получи 2 месяца Литрес Подписки в подарок и наслаждайся неограниченным чтением

ПОЛУЧИТЬ ПОДАРОК