КЛИНИКА

Наиболее типична (в 50–65 % случаев) в начале подагры локализация болей в I плюснефаланговом суставе, особенно часто травмируемом тесной обувью, в ушных раковинах, сдавливаемых головными уборами. Мы наблюдали пожилую больную подагрой, у которой впервые боли, отечность и гиперемия локализовались на ушных раковинах, а в дальнейшем появились и типичные проявления подагры в I плюснефаланговом суставе. У 15–20 % пациентов заболевание начинается с поражения I пястно-фалангового, голеностопного или других суставов стоп. Совсем редко — с коленных, лучезапястных и локтевых сочленений. У 5 % наблюдают полиартикулярное начало заболевания.

В ряде случаев больные перед приступом подагры выделяют продромальный период продолжительностью от нескольких часов до нескольких дней. Он характерен повышением возбудимости или депрессией, диспептическими явлениями, мышечными болями, судорогами в икроножных мышцах, иногда повышением температуры. Может также проявляться головными болями, повышением артериального давления (Чепой В. М., 1990).

Как правило, приступ возникает внезапно, ночью или рано утром, в покое, когда уменьшается гидратация тканей и скорость диффузии уратов из синовиальной жидкости в плазму, происходит перенасыщение суставной жидкости мочевой кислотой (Василенко В. В., 2006). Появляется резкая боль в суставе, быстро нарастает его припухлость, чаще сопровождаемые отечностью окружающих тканей и даже всей стопы. Кожа над суставом обычно напряжена, лоснящаяся, ярко-красного цвета с цианотичным оттенком. В последующем возникает ее шелушение. От рожистого воспаления процесс отличается отсутствием воспалительного валика по краям. Местная температура повышена. При поражении крупных и средних суставов (коленных, лучезапястных) боли могут не сопровождаться характерными признаками, и процесс диагностируют случайно, рентгенологически, с дальнейшим выявлением гиперурикемии, кристаллов уратов.

Локальную реакцию сопровождают озноб, повышение температуры и резкий сдвиг «показателей острой фазы»: лейкоцитоз, нейтрофилез, ускорение СОЭ.

Максимальные проявления острый приступ подагры имеет в первый день болезни. Мучительный период стихает через 2, максимум 5–7 дней, а на месте воспаления могут остаться плотные, бугристые, возвышающиеся над поверхностью кожи подагрические узелки — тофусы. Тофусы выявляют у 50 % больных подагрой. Локализованы подкожно, внутрикостно, внутрипочечно. Они могут быть обнаружены чаще всего в I плюснефаланговом суставе, в области мелких суставов кистей, преимущественно в I пястно-фаланговом, а также по наружному краю ушной раковины. Можно их выявить в преднадколенниковой и локтевой синовиальных сумках, в сухожилиях, стопах, на пальцах кистей, разгибательной поверхности предплечий, бедер, на голенях, на лбу, в области хрящевой перегородки носа. Тофусы чаще светло-желтого цвета, величиной от 1–2 до 30 мм, покрыты тонкой блестящей кожей. Иногда они вскрываются через свищевые ходы с выделением беловато-желтоватой крошковидной массы, но инфицируются тофусы редко (ураты обладают бактерицидным эффектом).

Локтевая сумка бывает буквально нафарширована камнями уратов. Нередко тофусы видны в виде маленьких белых наростов на веках.

Поверхностные тофусы распознают легко, но их могут симулировать другие образования (Скотт Д. Т., 1990):

· небольшие хрящевые разрастания, наблюдаемые у здоровых людей в области ушных раковин;

· воспаление синовиальных сумок, расположенных в области венечного отростка;

· кисты сальных желез;

· ревматоидные узелки;

· липомы или нейрофибромы;

· ксантомы и ксантелязмы;

· кальциноз тканей при системной склеродермии и дерматомиозите.

Множественные и крупные подагрические узелки наблюдают при резко выраженной гиперурикемии. Однако абсолютным признаком подагры может быть только выявление кристаллов мочевой кислоты. Кристаллы МУН (моноурата натрия) обнаруживают уже после первого эпизода артрита. Кристаллы МУН определяют в синовиальной жидкости даже вне приступа. Кристаллы уратов имеют вид палочек или тонких игл с обломанными или закругленными концами длиной около 10 мкм. Микрокристаллы уратов в синовиальной жидкости обнаруживают как свободно лежащими, так и в нейтрофилах. Рентгенологически вблизи тофусов выявляют округлую деструкцию костной ткани, обусловленную лизисом кости вокруг отложения кристаллов уратов (рис. 24, 25). Последние обычно рентгенонегативны, но иногда рядом можно выявить отложение солей кальция.

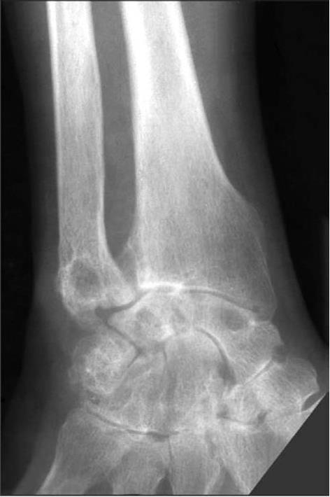
Рис. 24. Рентгенограмма костей запястья и лучезапястного сустава больной подагрой

Отчетливо видны множественные очаги деструкции округлой формы (симптом «пробойника»). Дефекты костной ткани преимущественно локализованы вне полостей суставов

Округлую костную деструкцию называют «штампованными дефектами», симптомом «пробойника». Деструкция обычно расположена субкортикально, как в эпифизах (субхондрально), так и на границе эпифиза и диафиза, а также может быть локализована вне сустава, в диафизах, с участками костной резорбции вокруг. При расположении уратов вблизи полости сустава из-за гибели хряща можно наблюдать сужение суставной щели. Как результат прорыва конгломерата уратов в полость сустава из кости может быть обнаружена краевая деструкция костной пластинки, но это наблюдают, как правило, на фоне других округлых очагов деструкции костной ткани — «пробойников». Рядом с отложением уратов можно видеть гипертрофическую костную реакцию. При значительной гибели суставного хряща подагра осложняется вторичным остеоартрозом с появлением краевых костных разрастаний — остеофитов.

Рис. 25. Рентгенограмма левой стопы больного подагрой

В пожилом возрасте обнаружить подагрическую деструкцию можно не только в суставах стопы, коленных, локтевых, но и в мелких суставах и костях запястья. Подагрическое поражение костей и суставов запястья с множественными очагами деструкции, частичным анкилозированием при разрушении смежных отделов костей см. на рис. 24.

Коррелируют с выраженностью урикемии частота приступов артритов и количество пораженных суставов, а также изменения внутренних органов. Множественным тофусам почти всегда сопутствует подагрическая нефропатия. Мы наблюдали пациента в возрасте 74 лет с тяжело протекающей подагрой. При распространенном подагрическом артрите, множественных, сливающихся в конгломераты изъязвленных тофусах клинически и по данным ЭКГ была диагностирована ИБС. При подагре у 87 % диагностируют АГ, у 38 % — ИБС, у 20 % — ХПН и СД2, у 10 % — ХСН (Барскова В. Г., 2010).

Довольно часты подагрические заболевания слизистых оболочек; подагрическая диспепсия, бронхиты, болезни мочеиспускательного канала. Наблюдают поражения серозных оболочек (плевриты и пневмонии), кожи (экзема), глаз, печени, почек.

При формулировке диагноза может быть использована классификация Т. М. Ненашевой (1995).

По стадиям:

· «бессимптомная» гиперурикемия (доклиническая стадия);

· дебют острого подагрического артрита;

· интермиттирующая стадия;

· хроническая стадия.

По локализации:

· суставная форма;

· суставно-висцеральная (с поражением почек, печени, селезенки, поджелудочной железы, легких, сердца).

По фазам процесса:

· период обострения;

· период ремиссии.

Наиболее часто встречающуюся рецидивирующую интермиттирующую форму М. Г. Астапенко (1989) по характеру течения подразделяет на три варианта:

· легкое течение: приступы не чаще 1–2 раз в год, поражены не более двух суставов, рентгенологически нет деструкции, тофусы отсутствуют или единичные, мелкие;

· среднетяжелое течение: 3–5 приступов в год, значительное число пораженных суставов, наличие костной деструкции на рентгенограммах, тофусы, почечно-каменная болезнь;

· тяжелое течение: более 5 приступов в год, сопровождаемых высокой температурой с множественными тофусами, резко выраженной костной деструкцией, наличием нефропатии и концентрацией мочевой кислоты более 0,59 ммоль/л.

В первые годы заболевания приступы редкие, 1–2 раза за год. Повторному приступу предшествует ощущение покалывания в пораженном суставе. Через 4–6 лет поражены от 4 до 10 суставов: после 10 лет — 12 и более (Барскова В. Г., 2010).

При хронической форме, которую нередко наблюдают в пожилом возрасте, поражены многие суставы. Воспалительные процессы, вначале имевшие интермиттирующий характер, постепенно теряют остроту. Прекращаются рецидивы острого артрита. Возникает тугоподвижность суставов. Возможно присоединение симптомов вторичного деформирующего остеоартроза. Из-за атрофии мышц в пожилом возрасте наблюдают подвывихи, хруст в суставах.

О. В. Синяченко [и др.] (1991) обосновали клинико-патогенетическое различие подагры у мужчин и женщин. У мужчин авторы выявили снижение тестостерона, эстрадиола и гонадотропина в крови, чаще смешанный тип гиперурикемии. Преобладали протеинурический и гипертензивный варианты нефропатии, уратурия, двусторонний гидронефроз, кисты почек, нередко развитие нефротического синдрома. У женщин преобладал метаболический тип гиперурикемии. Приступы артрита имеют более стертую клиническую картину. Помимо I плюснефалангового сустава часто поражены суставы рук. Преобладали латентные формы нефропатии и часто — оксалатурия. Отсутствовали отложения кальция в суставах и периартикулярных тканях, подагрические пороки сердца. Тофусы у женщин встречаются гораздо реже, что затрудняет диагностику подагры (Чепой В. М., 1990). С учетом международных диагностических критериев подагры и критериев, предложенных Институтом ревматологии (1976), диагноз подагры должен базироваться на следующих признаках:

· периодические (не менее двух приступов) боли и отечность суставов с гиперемией кожи сустава и околосуставной области;

· развитие максимального по интенсивности воспаления в течение первых суток приступа и наступление ремиссии максимум через неделю;

· преимущественная локализация болей в I плюснефаланговом суставе (по данным анамнеза или в процессе наблюдения);

· наличие тофусов под кожей ушных раковин, в суставах стопы, кисти, локтевых сумках;

· гиперурикемия: более 0,42 ммоль/л у мужчин и более 0,36 ммоль/л у женщин;

· острофазовые изменения крови в первые дни приступа: лейкоцитоз, нейтрофилез, ускорение СОЭ;

· выявление кристаллов уратов из вскрывшихся тофусов или синовиальной жидкости;

· рентгенологические признаки подагры: деструктивный артрит со значительной костной резорбцией вблизи от тофусов, множественные округлые очаги деструкции (симптомы «пробойника») в I плюснефаланговом, I пястно-фаланговом суставах и большое количество округлых очагов деструкции в костях запястья.

Диагностические критерии (АРА) .

I. Наличие характерных кристаллических уратов в суставной жидкости.

II. Наличие тофусов (доказанных), содержащих кристаллические ураты, подтвержденные химически или поляризационной микроскопией.

III. Наличие 6 из 12 нижепредставленных признаков:

— более чем одна острая атака артрита в анамнезе;

— максимум воспаления сустава уже в первые сутки;

— моноартикулярный характер артрита;

— гиперемия кожи над пораженным суставом;

— припухание или боль, локализованные в I плюснефаланговом суставе;

— одностороннее поражение суставов свода стопы;

— узелковые образования, напоминающие тофусы;

— гиперурикемия;

— одностороннее поражение I плюснефалангового сустава;

— асимметричное припухание пораженного сустава;

— обнаружение на рентгенограммах субкортикальных кист без эрозий;

— отсутствие флоры в суставной жидкости.

Комбинация из 6 и более признаков подтверждает диагноз.

Наиболее достоверны такие признаки, как острый или, реже, подострый артрит, обнаружение кристаллических уратов в синовиальной жидкости и наличие доказанных тофусов.

Дифференциальная диагностика подагры и ревматоидного артрита представлена в табл. 15. Несмотря на достаточно выраженные различия между этими заболеваниями, необходимо помнить, что у больных РА в пожилом возрасте вследствие длительного приема НПВП и нарушения последними экскреции мочевой кислоты может развиться также вторичная, симптоматическая подагра с гиперурикемией, отложением уратов в костной ткани, с типичной локализацией тофусов на ушных раковинах, веках, в локтевых сумках и почках.

Таблица 15

Дифференциальная диагностика подагры и ревматоидного артрита

Пример диагноза.

Подагра. Подагрический артрит. Интермиттирующая форма. Среднетяжелое течение, период ремиссии. Нарушение функции суставов 1-й степени. Шифр М10.

Более 800 000 книг и аудиокниг! 📚

Получи 2 месяца Литрес Подписки в подарок и наслаждайся неограниченным чтением

ПОЛУЧИТЬ ПОДАРОК