ПАТОГЕНЕЗ

Этиология и патогенез РА до сих пор неясны, и целостное представление о них — дело не столь близкого будущего (Сигидин Я. А. [и др.], 1994).

Патологический процесс при РА представляет собой генерализованное аутоиммунное воспаление, приводящее к развитию суставных и внесуставных (системных) органных проявлений и катаболических нарушений. Максимальную интенсивность воспаления наблюдают в синовиальной оболочке суставов, с развитием ее гиперплазии, быстрого увеличения объема синовиальнoй ткани (паннуса), с разрушением суставного хряща и подлежащей субхондральной кости (Насонов Е. Л., Чичасова Н. В., 1999).

Считают, что очаги хронической инфекции, локализованные преимущественно в желудочно-кишечном тракте, в периоды обострения сенсибилизируют организм, истощая иммунную систему, ослабляют функциональную активность Т-лимфоцитов. В-лимфоциты образуют множество циркулирующих иммунных комплексов (ЦИК). Усиливается фагоцитарная активность моноцитов периферической крови, не регулируемая ослабленными Th1. Если в момент очередного обострения инфекции имеет место перегрузка и (или) травма сустава, то в место поражения с большим количеством крови поступают комплексы антиген-комплимент-антитела, которых активно поглощают клетки синовиальной оболочки. Выделяемые при этом биологически активные вещества (гистамин, серотонин, кинины) вызывают повышение проницаемости сосудов, повреждают клеточные мембраны, обусловливая воспаление и отек синовиальной оболочки суставов.

На исход воспаления влияют цитокины, вырабатываемые Th1 (интерлейкины — IL-2, -3, -4; гамма-интерферон — IFN-g), способствуя усилению иммунной защиты. Однако ослабленные Т-лимфоциты не могут при РА выделять их в достаточном количестве. Макрофаги, моноциты также выделяют цитокины (интерлейкины — IL-1, -5, -6; фактор некроза опухолей — ФНО-a; колониестимулирующий фактор YM — CSF), которые стимулируют пролиферацию клеток в очаге воспаления, а также повышают активность простагландинов Е2 и D2, усиливающих воспаление, лихорадку.

В полость сустава проникает много нейтрофилов. В процессе фагоцитоза большого количества иммунных комплексов нейтрофилы разрушаются: продуктами их распада являются ревматоидные факторы (РФ). РФ, в свою очередь, являются антителом к Fc-фрагменту агрегированного IgG. При распаде нейтрофилов освобождаются протеины, вырабатывающие лейкотриен В4, продукты арахидоновой кислоты, реактивные оксиданты. Эти факторы, в сочетании с IL-1, ФНО, выделяемом макрофагами, стимулируют пролиферацию синовиальных клеток, которые приобретают сильную способность к полуавтономному росту, образованию паннуса. Последний принимает вид локализованной опухоли (масса синовиальной оболочки может возрастать в 100 раз), вызывая увеличение сустава. Вырабатываемые паннусом протеиназы (коллагеназа и стромализин), металлопротеазы, совместно с простагландинами Е2 и D2, а также остеокластическим фактором, повышают функцию остеокластов и вызывают разрушение белков матрикса суставного хряща, кости, резорбцию кости (эрозии, узуры). Костные эрозивные изменения развиваются также вследствие высвобождения внутриклеточных гидролитических ферментов. Циркулирующие тканевые ингибиторы не могут полностью нейтрализовать их действие из-за слабости Т-лимфоцитов (Сигидин Я. А. [и др.], 1994).

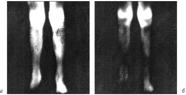
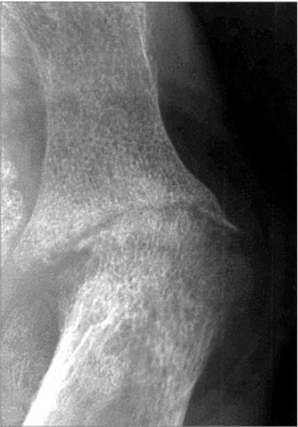
На рентгенограмме с прямым многократным увеличением отчетливо виден процесс резорбции костной ткани, образования эрозий, узур у больной с РА (рис. 13). На теплограмме воспаленного коленного сустава больной РА (рис. 14) представлено резко увеличенное тепловое излучение, вследствие увеличенного обмена паннуса. Оно буквально повторяет объем паннуса, который занимает всю суставную полость. Эта теплограмма артрита отчетливо отличается от теплоизлучения при реактивном синовите больных ОА с небольшими локальными очагами гипертермии (cм. рис. 12).

Рис. 13. Рентгенограмма I плюснефалангового сустава левой стопы больной III стадии РА

Прямое 7-кратное увеличение рентгеновского изображения. Резко выраженный диффузный остеопороз. Значительное неравномерное сужение суставной щели с истончением, разрушением замыкающей костной пластинки. Множественные глубокие краевые дефекты костной ткани с размытыми краями (эрозии), расположенные субпериостально, в зоне сустава

При РА воспаление распространяется также на суставную сумку и проходящие в ней сухожилия, периартикулярные ткани. Возникающая в них инфильтрация тканей, пролиферация нейтрофилов, моноцитов, лимфоцитов усугубляют деформацию суставов. Со временем паннус, превращаясь в фиброзную ткань, замещает разрушенные хрящ, связки, сухожилия и образует сращения между сочленяющими костями с ограничением их подвижности, развитием фиброзного анкилоза. При непосредственном смыкании костных поверхностей они срастаются с образованием костного анкилоза.

Попадая в сосудистое русло, РФ вызывает образование новых иммунных комплексов IgG — РФ. Ввиду слабости иммунной системы комплексы содержат немного истинных антител, они мелкие и, следовательно, не могут быть фагоцитированы. В то же время они легко проникают сквозь порозную сосудистую стенку, повреждая все новые ткани: суставы, сосуды, сердце, легкие, почки. Поэтому случаи серопозитивного РА, когда РФ выявляют в крови, являются прогностически неблагоприятными. Четверть больных (в первые месяцы до 60–80 %) отрицательны по РФ.

Рис. 14. Теплограмма нижних конечностей больной РА, 2-я степень активности

Выраженное диффузное теплоизлучение, с повышением температуры над суставом на 2,5 °C. Гипертермия буквально повторяет контуры воспаленной разросшейся синовиальной оболочки; а, б — сохранение гипертермии на разных режимах регистрации

Клиническая классификация ревматоидного артрита (Каратеева Д. Е., Олюнин Ю. А. Институт ревматологии РАМН. Проект 2007 г.)

1. Основной диагноз:

· Ревматоидный артрит серопозитивный (М05.8)

· Ревматоидный артрит серонегативный (М06.0)

· Особые клинические формы ревматоидного артрита:

— Синдром Фелти (М05.0)

— Ревматоидная болезнь легких (М05.1)

— Ревматоидный васкулит (М05.2)

— Ревматоидный артрит с вовлечением других органов и систем (М05.3)

— Болезнь Стилла, развившаяся у взрослых (М06.1)

— Ревматоидный бурсит (М06.2)

— Ревматоидный узелок (М06.3)

Недифференцированный артрит:

· Моноартрит (М13.1)

· Олигоартрит (М13.8 Другие уточненные артриты)

· Полиартрит (М06.4 Воспалительная полиартропатия)

2. Клиническая стадия:

· Ранняя стадия: длительность болезни < 2 лет

· Развернутая стадия: длительность болезни 2 года и более

· Поздняя стадия: длительность болезни 2 года и более + выраженная деструкция мелких (III–IV рентгенологическая стадия) и крупных суставов, наличие осложнений

3. Активность болезни:

0 — ремиссия (DAS28 < 2,6)

1 — низкая (DAS28 2,6–3,2)

2 — средняя (DAS28 3,3–5,1)

3 — высокая (DAS28 > 5,1)

4. Системные проявления:

· Ревматоидные узелки

· Полинейропатия, множественный мононеврит

· Кожный васкулит (язвенно-некротический васкулит, инфаркты ногтевого ложа, дигитальный артериит, ливедо-ангиит)

· Синдром Рейно

· Генерализованная лимфоденопатия, гепатоспленомегалия

· Плеврит (сухой, выпотной)

· Фиброзирующий альвеолит (диффузный интерстициальный легочный фиброз)

· Перикардит (сухой, выпотной)

· Гломерулонефрит (по данным биопсии почек)

· Синдром Фелти

· Синдром Шегрена

· Эписклерит, склерит

5. Инструментальная характеристика:

· Наличие эрозий (с использованием рентгенографии, МРТ):

— Неэрозивный

— Эрозивный

· Рентгенологическая стадия (I, II, III, IV)

Учитывая целесообразность удаления из сосудистого русла РФ, успешно используют методы афереза (лимфоцитофереза, плазмофереза). К методам афереза можно отнести парентеральное введение человеческого гамма-глобулина и иммуноглобулина. Они образуют в крови с РФ, ЦИК крупные иммунные комплексы, в которых хорошо фагоцитируют макрофаги.

Параллельно иммунокомплексным процессам происходит поражение эндотелиальных клеток, их пролиферация в сосудистой стенке, с некрозом ее и формированием периваскулярных инфильтратов (Насонова В. А., Астапенко М. Г., 2002). С развитием ревматоидного васкулита связана ишемическая полинейропатия, хронические язвы голени, дигитальный артериит. Лимфоидная инфильтрация с образованием фолликулов, напоминающих ревматоидные узелки, как в синовиальной оболочке, так и во многих внутренних органах, обусловливает развитие гранулематозных процессов (в области проводящей системы сердца, в легких, эписклерит).

Таким образом, патогенез ревматоидного синовита и системные проявления РА обусловлены иммуноопосредованным воспалением, его хронизацией, самоподдерживающим течением, приводящим к суставной и общей патологии сосудов гранулематозного характера с исходом в деструкцию пораженных тканей и фиброзирование.

Исходя из данных патогенеза, можно объяснить эффективность лечения аутоиммунных заболеваний, в том числе и РА, применением иммуностимуляторов.

Более 800 000 книг и аудиокниг! 📚

Получи 2 месяца Литрес Подписки в подарок и наслаждайся неограниченным чтением

ПОЛУЧИТЬ ПОДАРОК