Рак эндометрия
В последние десятилетия заболеваемость раком тела матки неуклонно возрастает, что, по–видимому, связано с увеличением продолжительности жизни женщин и их пребывания в периоде постменопаузы. Рак тела матки возникает в основном в постменопаузе, средний возраст пациенток составляет 60–62 года. В течение жизни раком эндометрия заболевает 2–3% женщин.
Существуют два патогенетических варианта рака тела матки – гормонально–зависимый и автономный.
Гормонально–зависимый рак матки встречается примерно в 70% наблюдений, в патогенезе этого варианта рака играет роль длительная гиперэстрогения. Последняя может быть как абсолютной, так и относительной и возникать в результате ановуляции, феминизирующих опухолей яичника, избыточной периферической конверсии андрогенов в эстрогены (при ожирении, сахарном диабете), эстрогенных влияний (при заместительной гормональной терапии эстрогенами, лечении рака молочной железы тамоксифеном с образованием метаболитов с эстрогенной активностью) и т.д. Гормонально–зависимому раку тела матки предшествует последовательное возникновение гиперпластических и предраковых процессов эндометрия. Как правило, это высокодифференцированная аденокарцинома, чувствительная к гормональной терапии. К факторам риска гормонально–зависимого рака тела матки относят бесплодие, отсутствие родов в анамнезе, позднюю менопаузу, ожирение, сахарный диабет, АГ, наследственную отягощенность по раку с эндокринно–метаболическим патогенезом (рак молочной железы, эндометрия, яичников, толстой кишки), гормонпродуцирующие опухоли яичника, заместительную монотерапию эстрогенами в постменопаузе, применение тамоксифена при лечении рака молочной железы.
В ретроспективных исследованиях получены сведения о зависимости риска развития рака матки и выраженности гиперпластического процесса эндометрия. Рак матки возникает у 1% больных с железистой гиперплазией, у 3% – с железисто–кистозной, у 8% – с простой атипической гиперплазией и у 29% – со сложной атипической гиперплазией. Однако в постменопаузе этот риск выше, чем в другом возрасте.
Автономный патогенетический вариант рака эндометрия встречается менее чем в 30% наблюдений, возникает на фоне атрофии эндометрия при отсутствии гиперэстрогении у пациенток без обменно–эндокринных нарушений. Считается, что в развитии автономного варианта рака эндометрия играет роль выраженная депрессия Т–системы иммунитета на фоне нарушений адаптационного гомеостаза и гиперкортицизма. Изменения иммунитета состоят в значительном снижении абсолютного и относительного количества Т–лимфоцитов, угнетении всех субпопуляций Т–лимфоцитов и их теофиллинчувствительных форм, большом количестве лимфоцитов с блокированными рецепторами.
Автономный рак тела матки развивается в более старшем возрасте. Для данного варианта не установлены факторы риска. Как правило, он появляется у худых пожилых женщин без предшествующих гиперпластических процессов. В анамнезе может отмечаться кровотечение в постменопаузе на фоне атрофии эндометрия. Опухоль имеет низкую дифференцировку, низкую чувствительность к гормонотерапии, происходят ранняя инвазия в миометрий и метастазирование.
Классификация рака тела матки в зависимости от его распространенности основывается на клинических либо на клинико–гистологических данных.
Клиническая классификация (FIGO, 1971) используется до операции или у неоперабельных больных:
• Стадия 0 – рак in situ.
• Стадия I – опухоль ограничена телом матки.
• Стадия II – опухоль распространяется на шейку матки, не выходя за пределы матки.
• Стадия III – опухоль распространяется в пределах малого таза.
• Стадия IV – опухоль прорастает соседние органы или распространяется за пределы малого таза.
§ IVA – опухоль врастает в мочевой пузырь или прямую кишку.
§ IVB – отдаленные метастазы.
Интраоперационные данные и гистологическое исследование позволяют выделить морфологические стадии рака тела матки (FIGO, 1988):
• Стадия IA – опухоль в пределах эндометрия.
• Стадия IB – инвазия в миометрий не более чем на ½ его толщины.
• Стадия IC – инвазия в миометрий более чем на ½ его толщины.
• Стадия IIА – распространение на железы шейки матки.
• Стадия IIB – распространение на строму шейки матки.
• Стадия IIIA – прорастание опухолью серозной оболочки матки, метастазы в маточные трубы или яичники, опухолевые клетки в смывах из брюшной полости.
• Стадия IIIВ – распространение на влагалище.
• Стадия IIIC – метастазы в тазовые или поясничные лимфатические узлы.
• Стадия IVA – прорастание слизистой оболочки мочевого пузыря или прямой кишки.
• Стадия IVB – отдаленные метастазы в паховые лимфатические узлы.
Опираясь на данную классификацию и результаты гистологического исследования, у больных после операции планируют последующие этапы лечения.
Гистологически рак эндометрия чаще всего представлен:
1. аденокарциномой
• папиллярной
• секреторной
• с плоскоклеточной метаплазией
2. муцинозным раком;
3. папиллярным серозным раком;
4. светлоклеточным раком;
5. плоскоклеточным раком;
6. недифференцированным раком.
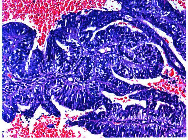
В 80% наблюдений рак эндометрия представлен аденокарциномой (рис. 15.27).
В зависимости от выраженности тканевого и клеточного атипизма выделяют три степени дифференцировки рака тела матки (FIGO, 1989):
1. высокодифференцированный рак (G1);
2. умеренно дифференцированный рак (G2);
3. низкодифференцированный рак (G3).

Рис. 15.27. Аденокарцинома (умеренно дифференцированная) эндометрия. Окраска гематоксилином и эозином, х 400. Фото О.В. Зайратьянца
Клиническая картина рака тела матки в некоторой степени зависит от менструальной функции. У менструирующих женщин рак эндометрия может проявляться обильными длительными менструациями, часто нерегулярными, ациклическими кровотечениями. Однако в 75% случаев рак эндометрия развивается у женщин в постменопаузе и обусловливает появление кровяных выделений из половых путей, которые называют кровотечением в постменопаузе. Кровяные выделения могут быть скудными, мажущими или обильными. Они возникают в постменопаузе у 90% больных раком эндометрия; в 8% случаев при диагностированном раке его клинические проявления отсутствуют. Помимо кровяных выделений, у больных могут наблюдаться гнойные выделения, а при стенозе цервикального канала может формироваться пиометра. Боли, если они не обусловлены пиометрой, появляются поздно, при распространенном раковом процессе с инфильтратами в малом тазу. При сдавлении мочеточника инфильтратом с возникновением блока почки боли локализуются в области поясницы. В отдельных наблюдениях могут формироваться асцит или объемные образования в малом тазу (при метастазах в яичники, большой сальник).
Диагностика рака тела матки.
Женщинам в постменопаузе в качестве скрининга показано влагалищное УЗИ органов малого таза 1 раз в год, а в группе риска по раку эндометрия – 1 раз в полгода. Включения в структуре М–эха и его утолщение более 4 мм (при ранней постменопаузе – более 5 мм) подозрительны на патологию эндометрия и требуют гистероскопии, выскабливания слизистой матки. При явных эхографических признаках злокачественной трансформации эндометрия показана аспирационная биопсия эндометрия, а при ее неинформативности гистероскопия и выскабливание слизистой оболочки матки.
При нарушении менструального цикла и УЗ–признаках патологии эндометрия, а также при кровотечении в постменопаузе показаны гистероцервикоскопия и раздельное диагностическое выскабливание слизистой оболочки матки. Информативность гистероскопии при раке эндометрия в постменопаузе составляет 98%, гистологическое исследование соскобов позволяет установить окончательный диагноз.
После установления диагноза проводят тщательное обследование больной с целью определения клинической стадии процесса и выбора тактики ведения. Наряду с физикальным, гинекологическим и лабораторным исследованиями выполняют эхографию органов брюшной полости, колоноскопию, цистоскопию, рентгенографию грудной клетки, при необходимости – экскреторную урографию, КТ и т.д.
Лечение больных раком эндометрия зависит от стадии процесса и состояния больной. Неоперабельны пациентки с диссеминацией опухоли – массивным переходом опухоли на шейку матки и большими инфильтратами в параметрии, прорастанием мочевого пузыря и прямой кишки, отдаленными метастазами. Среди больных, нуждающихся в операции, у 13% имеются противопоказания к оперативному лечению, обусловленные сопутствующими заболеваниями.
При оперативном лечении по поводу рака тела матки выполняют экстирпацию матки с придатками, а при риске поражения лимфатических узлов – еще и селективную забрюшинную лимфаденэктомию (1–й этап). Расширенную экстирпацию матки выполняют крайне редко, поскольку она не улучшает прогноз и увеличивает частоту интра– и послеоперационных осложнений. Гистерэктомию осуществляют абдоминальным доступом; при начальных стадиях рака возможна лапароскопическая операция с извлечением матки через влагалище (без нарушения ее целостности). Необходимость лимфаденэктомии диктуется тем, что метастазы в лимфатические узлы гормононечувствительны.
Лимфаденэктомию целесообразно производить при наличии одного или нескольких из следующих факторов риска:
1. инвазия в миометрий, превышающая половину его толщины;
2. переход опухоли на перешеек или шейку матки;
3. распространение опухоли за пределы матки;
4. диаметр опухоли более 2 см;
5. низкая дифферениировка опухоли, светлоклеточный, папиллярный, серозный или плоскоклеточный рак.
Наиболее значимы для лимфогенной диссеминации и, соответственно, для прогноза степень дифференцировки опухоли и глубина инвазии.
При поражении тазовых лимфатических узлов метастазы в поясничные лимфатические узлы наблюдаются у 50–70% больных. Нормальные размеры лимфатических узлов при интраоперационной пальпации не могут служить основанием для отказа от лимфаденэктомии, поскольку в 90% случаев пораженные лимфатические узлы не увеличены. Удаляют общие подвздошные и поясничные лимфатические узлы, тазовая лимфаденэктомия прогностически наименее важна, поскольку тазовые лимфатические узлы в последующем попадают в зону облучения.
После получения результатов морфологического исследования планируют второй этап лечения.
При подтвержденном высокодифференцированном раке ?? стадии лучевую терапию не проводят, в остальных случаях осуществляют внутриполостную или дистанционную лучевую терапию или их комбинацию. При высокодифференцированной аденокарциноме помимо этого назначают гормонотерапию, что улучшает результаты лечения.
При лечении больных во II стадии возможна расширенная экстирпация матки с последующей лучевой терапией и гормональным лечением гестагенами или, наоборот, назначают лучевую терапию, а затем проводят операцию. Результаты лечения при двух указанных подходах одинаковы, но первый из них более предпочтителен, поскольку позволяет точнее определить морфологическую стадию процесса.
Лечение больных в III–IV стадии заболевания планируют индивидуально. Целесообразно начинать лечение с операции, в ходе которой нужно стремиться к радикальности или максимальной редукции опухоли, что значительно улучшает прогноз. После операции обычно проводят комплексную лучевую и гормональную терапию.
Прогноз при раке тела матки в основном зависит от морфологической стадии и в меньшей степени – от возраста больной, гистологического типа опухоли, ее размера, степени дифференцировки, перехода на шейку матки, глубины инвазии миометрия, опухолевых эмболов в лимфатических щелях, метастазов в яичники и лимфатические узлы, диссеминации по брюшине, содержания рецепторов эстрогенов и прогестерона в опухоли, плоидности опухолевых клеток.
С увеличением возраста прогноз ухудшается: 5–летняя выживаемость при раке тела матки у больных до 50 лет составляет 91%, после 70 лет – 61%. Редкие гистологические типы рака (плоскоклеточный, папиллярный серозный, светлоклеточный, недифференцированный) склонны к прогрессированию, что определяет плохой прогноз; 5–летняя выживаемость больных составляет лишь 33%, тогда как при аденокарциноме – 92%. С потерей дифференцировки опухоли ухудшается прогноз: 5–летняя безрецидивная выживаемость при высокодифференцированном раке составляет 92%, при умеренно дифференцированном – 86%, при низкодифференцированном – 64%. Увеличение глубины инвазии миометрия обусловливает метастазирование и поэтому утяжеляет прогноз, при поверхностной инвазии 5–летняя выживаемость составляет 80–90%, при глубокой – только 60%. Метастазы в лимфатические узлы повышают риск прогрессирования рака тела матки в 6 раз. 5–летняя безрецидивная выживаемость при метастатическом поражении лимфатических узлов составляет 54%, а при отсутствии метастазов – 90%. Прогноз значительно лучше при гормонозависимом патогенетическом варианте рака эндометрия, чем при автономном: 5–летняя выживаемость составляет соответственно 90 и 60%.
Методы первичной профилактики рака тела матки призваны устранить перечисленные факторы риска развития рака эндометрия и, по сути, направлены на устранение гиперэстрогении: снижение массы тела, компенсацию сахарного диабета, восстановление репродуктивной функции, нормализацию менструальной функции, устранение причин ановуляции, своевременное оперативное лечение при феминизирующих опухолях и т.д.
Однако наиболее действенны меры вторичной профилактики, направленные на своевременную диагностику и лечение фоновых и предраковых пролиферативных процессов эндометрия: адекватные обследование и лечение, скрининговое обследование женщин 1 раз в год с использованием трансвагинальной эхографии, формирование групп риска по раку эндометрия (на основе известных факторов риска) с регулярным наблюдением (трансвагинальная эхография и аспирационная биопсия 1 раз в 6 мес).
Более 800 000 книг и аудиокниг! 📚
Получи 2 месяца Литрес Подписки в подарок и наслаждайся неограниченным чтением
ПОЛУЧИТЬ ПОДАРОК