Эпителиальные опухоли яичников
Наибольшую группу доброкачественных эпителиальных опухолей яичников представляют цистаденомы (прежнее название – кистомы). В зависимости от строения эпителиальной выстилки и внутреннего содержимого цистаденомы подразделяют на серозлые и муцшюзиые.
Серозные опухоли составляют 70% всех эпителиальных новообразований яичников. Они подразделяются на простые серозные (гладкостенные) и сосочковые (папиллярные).
Простая серозная цистаденома
Син.: гладкостенная цилиоэпителиальная цистаденома, серозная киста. Это истинная доброкачественная опухоль яичника. Серозная цистаденома покрыта низким кубическим эпителием, под которым располагается соединительнотканная строма. Внутренняя поверхность выстлана реснитчатым эпителием, напоминающим трубный, способным к пролиферации.
Микроскопически определяется хорошо дифференцированный эпителий, напоминающий таковой в маточной трубе и способный становиться индифферентным, уплощенно–кубическим в растянутых содержимым образованиях. Эпителий на отдельных участках может терять реснички, а местами даже отсутствовать, иногда он подвергается атрофии и слущиванию. В подобных ситуациях морфологически гладкостенные серозные цистаденомы трудно отличить от функциональных кист. По внешнему виду такая цистаденома напоминает кисту и называется серозной. Макроскопически поверхность опухоли гладкая, опухоль располагается сбоку от матки или в заднем своде. Чаще опухоль односторонняя, однокамерная, овоидной формы, тугоэластической консистенции. Цистаденома не достигает больших размеров, подвижная, безболезненная. Обычно содержимое опухоли представлено прозрачной серозной жидкостью соломенного цвета. Простая серозная цистаденома переходит в рак крайне редко.

Рис. 16.6. Гладкостенная (простая серозная) цистаденома яичника. Окраска гематоксилином и эозином, х 400. Фото О.В. Зайратьянца
Папиллярная (грубососочковая) серозная цистаденома
Это морфологическая разновидность доброкачественных серозных цистаденом, наблюдается реже, чем гладкостенные серозные цистаденомы. Составляет 7–8% всех опухолей яичников и 35% всех цистаденом. Опухоль имеет вид одно– или многокамерного кистозного новообразования, на внутренней поверхности которого имеются единичные или многочисленные плотные сосочковые вегетации на широком основании, белесоватого цвета.
Структурную основу сосочков составляет мелкоклеточная фиброзная ткань с малым количеством эпителиальных клеток, нередко с признаками гиалиноза. Покровный эпителий сходен с эпителием гладкостенных цилиоэпителиальных цистаденом. Грубые сосочки являются важным диагностическим признаком, так как подобные структуры встречаются в серозных цистаденомах и никогда не отмечаются в неопухолевых кистах яичников. Грубососочковые папиллярные разрастания с большой долей вероятности позволяют исключить возможность злокачественного опухолевого роста уже при внешнем осмотре операционного материала. Дегенеративные изменения стенки могут сочетаться с появлением слоистых петрификатов (псаммомных телец – рис. 16.7).

Рис. 16.7. Папиллярная серозная цистаденома. Окраска гематоксилином и эозином, х 120. Фото О.В. Зайратьяниа
Папиллярная серозная цистаденома имеет наибольшее клиническое значение в связи с выраженным злокачественным потенциалом и высокой частотой развития рака. Частота малигнизации достигает 50%.
Существенным отличием папиллярной серозной цистаденомы от грубососочковой является способность покровного эпителия оживленно пролиферировать, создавая более или менее зрелые структуры. Сосочковые разрастания мягковатой консистенции нередко сливаются между собой и располагаются неравномерно на стенках отдельных камер. Сосочки могут формировать крупные узлы, инвертирующие опухоли. Множественные сосочки могут заполнить всю капсулу опухоли, иногда прорастают через капсулу на наружную поверхность. Опухоль приобретает вид цветной капусты, вызывая подозрение на злокачественный рост.
Папиллярные цистаденомы могут распространяться на большом протяжении, диссеминировать по брюшине, приводить к асциту.
Опухоль ограниченно подвижная, с короткой ножкой, нередко двусторонняя, иногда расположена интралигаментарно. Возникновение асцита связано с разрастанием сосочков по поверхности опухоли, по брюшине и нарушением резорбтивной способности брюшины маточно–прямокишечного пространства. Эвертирующие папиллярные цистаденомы гораздо чаще бывают двусторонними; в этом случае течение заболевания более тяжелое. При данной форме в 2 раза чаще встречается асцит. Все это позволяет считать эвертирующую папиллярную опухоль в клиническом отношении более тяжелой, чем инвертирующую.
Пограничная папиллярная цистаденома (низкой степени злокачественности) имеет более обильные сосочковые разрастания с формированием обширных полей. Микроскопически определяются ядерный атипизм и повышенная митотическая активность. Основной диагностический критерий – отсутствие инвазии в строму, но могут определяться глубокие инвагинаты без прорастания базальной мембраны и без выраженных признаков атипизма и пролиферации.
Самым серьезным осложнением папиллярной цистаденомы становится ее малигнизация – переход в рак.
Муцинозная цистаденома
Син.: псевдомуцинозная цистаденома. Занимает второе место по частоте (после цилиоэпителиальных опухолей) и представляет собой доброкачественное новообразование яичника (прежнее название – псевдомуцинозная опухоль)
Опухоль выявляется во все периоды жизни, чаще – в постменопаузальном. Она покрыта низким кубическим эпителием. Подлежащая строма в стенке муцинозных цистаденом образована фиброзной тканью различной клеточной плотности, внутренняя поверхность выстлана высоким призматическим эпителием со светлой цитоплазмой, что в целом очень сходно с эпителием цервикальных желез.
Муцинозные цистаденомы почти всегда многокамерные. Камеры заполнены слизистым содержимым, представляющим собой муцин, содержащий гликопротеиды и гетерогликаны. Истинным муцинозным цистаденомам не свойственны папиллярные структуры. Размеры муцинозной цистаденомы обычно значительные, встречаются и гигантские, диаметром 30–50 см. Наружная и внутренняя поверхности стенок гладкие. Стенки большой опухоли истончены и даже могут просвечивать вследствие значительного растяжения. Содержимое камер слизистое или желеобразное, желтоватого, реже – бурого цвета, геморрагическое.

Рис. 16.8. Муцинозная цистаденома яичника. Окраска гематоксилином и эозином, х 120. Фото О.В. Зайратьянца
Эпителий, выстилающий пограничные цистаденомы, характеризуется полиморфизмом и гиперхроматозом, а также повышенной митотической активностью ядер (рис. 16.8). Пограничная муцинозная цистаденома отличается от муцинозного рака отсутствием инвазии опухолевого эпителия.
К редко встречающимся эпителиальным яичниковым образованиям относятся псевдомиксома яичника и брюшины, опухоль Бреннера.
Псевдомиксома яичника и брюшины
Это разновидность муцинозной опухоли, происходящая из муцинозных цистаденом, цистаденокарцином, а также из дивертикулов червеобразного отростка. Развитие псевдомиксомы связано с разрывом стенки муцинозной опухоли яичника либо с пропитыванием всей толщи стенки камеры опухоли без видимого разрыва. В большинстве наблюдений заболевание встречается у женщин старше 50 лет. Характерных симптомов нет, до операции заболевание почти не диагностируется. По сути, говорить о злокачественном или доброкачественном варианте псевдомиксом можно, так как они не инфильтрируют и не прорастают в ткани.
Муцин распространяется в брюшной полости между петлями кишок. При микроскопическом исследовании с трудом находят отдельные эпителиальные клетки. Псевдомиксома нередко приводит к истощению организма и к смерти.
Лечение оперативное, заключается в удалении муцина, но процесс часто рецидивирует, и муцин накапливается снова.
Опухоль Бреннера
Син.: фиброэпителиома, мукоидная фиброэпителиома. Это фиброэпителиальная опухоль, включающая клетки стромы яичника.
В последнее время все более обосновывается происхождение опухоли из покровного целомического эпителия яичника и из хилуса. Частота доброкачественной опухоли Бреннера составляет около 2% всех опухолей яичника. Встречается как в раннем детском возрасте, так и у женщин старше 50 лет. Опухоль имеет солидное строение в виде плотного узла, поверхность разреза серовато–белая, с мелкими кистами.
Макроскопически могут быть как кистозные, так и кистозно–солидные структуры. На разрезе кистозная часть опухоли представлена множественными камерами с жидким или слизистым содержимым. Внутренняя поверхность может быть гладкой или с тканью, напоминающей сосочковые разрастания, местами рыхлой.
Микроскопическая картина опухоли Бреннера представлена эпителиальными гнездами, окруженными тяжами веретенообразных клеток. Клеточный атипизм и митозы отсутствуют. Опухоль Бреннера нередко сочетается с другими опухолями яичника, особенно муцинозными цистаденомами и кистозными тератомами. Не исключаются возможность развития пролиферативных форм опухоли Бреннера и малигнизация.
Величина опухоли – от микроскопической до размеров головы взрослого человека. Опухоль односторонняя, чаще левосторонняя, округлой или овальной формы, с гладкой наружной поверхностью. Капсула обычно отсутствует. По внешнему виду и консистенции опухоль нередко напоминает фиброму яичника.
Смешанные эпителиальные опухоли
Характеризуются сочетанием серозных и муцинозных эпителиальных структур.
Макроскопически смешанные опухоли представляют собой многокамерные образования с различным содержимым. Встречаются серозное, муцинозное содержимое, реже участки солидного строения, иногда напоминающие фиброму или сосочковые разрастания.
Клиническая симптоматика эпителиальных опухолей яичников.
Доброкачественные опухоли яичников независимо от строения в клинических проявлениях имеют много сходных черт. Опухоли яичников чаще возникают бессимптомно у женщин старше 40–45 лет. Специфически достоверных клинических симптомов какой–либо опухоли не существует. Однако при направленном расспросе пациентки можно выявить жалобы на тупые, ноющие боли различной выраженности внизу живота, в поясничной и паховых областях. Боли нередко иррадиируют в нижние конечности и пояснично–крестцовую область, могут сопровождаться дизурическими явлениями, обусловленными, по–видимому, давлением опухоли на мочевой пузырь, увеличением живота. Как правило, боли не связаны с менструальным циклом. Приступообразные или острые боли обусловлены перекрутом ножки опухоли (частичным или полным) или перфорацией капсулы опухоли (см. «Острый живот» в гинекологии»).
При папиллярных серозных цистаденомах боли возникают раньше, чем при других формах опухолей яичников. По–видимому, это обусловлено анатомическими особенностями папиллярных опухолей яичника (двусторонний процесс, папиллярные разрастания и спаечный процесс в малом тазу).
При папиллярных цистаденомах, чаще двусторонних, возможен асцит. Самым серьезным осложнением папиллярной цистаденомы остается малигнизация.
При больших опухолях (чаще муцинозных) возникает ощущение тяжести внизу живота, сам живот увеличивается, нарушается функция соседних органов (появляются запор, дизурические явления). Репродуктивная функция нарушена у каждой 5–й обследуемой (первичное или вторичное бесплодие).
Второй по частоте является жалоба на нарушение менструального цикла; оно возможно с момента менархе или возникает позднее.
Диагностика эпителиальных опухолей яичника.
Несмотря на технический прогресс, диагностическое мышление на основе влагалищно– и ректоабдоминального исследования не утратило важности. При двуручном гинекологическом осмотре можно выявить опухоль и определить ее величину, консистенцию, подвижность, чувствительность, расположение по отношению к органам малого таза, характер поверхности опухоли. Пальпируется опухоль, достигшая определенных размеров (когда за счет опухоли увеличивается объем яичника). При малых размерах опухоли и (или) при гигантских опухолях и нетипичном расположении образования бимануальное исследование малоинформативно. Особенно трудно диагностировать опухоли яичников у тучных женщин и у пациенток со спаечным процессом в брюшной полости после ранее перенесенных чревосечений. Не всегда по данным пальпации можно судить о характере опухолевого процесса. Бимануальное исследование дает лишь общее представление о патологическом образовании в малом тазу. Исключению злокачественности помогает ректовагинальное исследование, при котором можно определить отсутствие «шипов» в заднем своде, нависание сводов при асците, прорастание слизистой оболочки прямой кишки.
При двуручном влагалищно–абдоминальном исследовании у пациенток с простой серозной цистаденомой в области придатков матки определяется объемное образование кзади или сбоку от матки, округлой, чаще овоидной формы, тугоэластической консистенции, с гладкой поверхностью, диаметром от 5 до 10 см, безболезненное, подвижное при пальпации.
Папиллярные цистаденомы чаще бывают двусторонними, располагаются сбоку или кзади от матки, с гладкой и (или) неровной (бугристой) поверхностью, округлой или овоидной формы, тугоэластической консистенции, подвижные или ограниченно подвижные, чувствительные или безболезненные при пальпации. Диаметр новообразований колеблется от 7 до 15 см.
При двуручном гинекологическом исследовании муцинозная цистаденома определяется кзади от матки. Образование с бугристой поверхностью, неравномерной, чаще тугоэластической консистенции, округлой формы, ограниченной подвижности, диаметр от 9 до 20 см и более, опухоль чувствительна при пальпации.
При двуручном влагалищно–абдоминальном исследовании у пациенток с верифицированным диагнозом опухоли Бреннера сбоку и кзади от матки определяется объемное образование овоидной или (чаще) округлой формы, плотной консистенции, с гладкой поверхностью, диаметром 5–7 см, подвижное, безболезненное. Опухоль Бреннера нередко напоминает субсерозную миому матки.
Одно из ведущих мест среди методов диагностики опухолей малого таза занимает УЗИ благодаря относительной простоте, доступности, неинвазивности и высокой информативности.
Эхографически гладкостенная серозная цистаденома имеет диаметр 6–8 см, округлую форму, толщина капсулы обычно 0,1–0,2 см. Внутренняя поверхность стенки опухоли гладкая, содержимое цистаденом однородное и анэхогенное, могут визуализироваться перегородки, чаще единичные. Иногда определяется мелкодисперсная взвесь, легко смещаемая при перкуссии образования. Опухоль располагается обычно кзади и сбоку от матки (рис. 16.9).
Папиллярные серозные цистаденомы имеют неравномерно расположенные на внутренней поверхности капсулы сосочковые разрастания в виде пристеночных структур различной величины и повышенной эхогенности. Множественные очень мелкие папиллы придают стенке шероховатость или губчатость. Иногда в сосочках откладывается известь, на сканограммах она повышенной эхогенности. В некоторых опухолях папиллярные разрастания заполняют всю полость, создавая видимость солидного участка. Папиллы могут прорастать на наружную поверхность опухоли. Толщина капсулы папиллярной серозной цистаденомы составляет 0,2–0,3 см. Папиллярные серозные цистаденомы определяются как двусторонние округлые, реже овальные образования диаметром 7–12 см, однокамерные и (или) двухкамерные. Они располагаются сбоку или кзади от матки, иногда визуализируются тонкие линейные перегородки (рис. 16.10).
Муцинозная цистаденома имеет множественные перегородки толщиной 0,2–0,3 см, часто на отдельных участках кистозных полостей. Взвесь визуализируется только в относительно больших образованиях. Муцинозная цистаденома чаще большая, диаметром ›20 см, (иногда – до 50 см), почти всегда многокамерная, располагается в основном сбоку и сзади от матки, округлой или овоидной формы. В полости визуализируется мелкодисперсная несмещаемая при перкуссии ультразвуковым датчиком взвесь средней или высокой эхогенности. Содержимое некоторых камер может быть однородным (рис. 16.11).
Опухоль Бреннера, смешанные, недифференцированные опухоли дают неспецифическое изображение в виде образований неоднородного солидного или кистозно–солидного строения.
ЦДК помогает более точно дифференцировать доброкачественные и злокачественные опухоли яичников. По кривым скоростей кровотока в яичниковой артерии, индексу пульсации и ИР можно заподозрить малигнизацию опухолей, особенно на ранних стадиях, поскольку злокачественным опухолям присуща активная васкуляризация, а отсутствие зон васкуляризации более типично для доброкачественных новообразований. При ЦДК доброкачественным эпителиальным опухолям яичников свойственна умеренная васкуляризация в капсуле, перегородках и эхогенных включениях. ИР не превышает 0,4.
Использование ультразвуковых сканнеров, обеспечивающих трехмерную реконструкцию (3D) акустической картины, дает возможность более детально визуализировать сосудистое русло яичникового образования, оценить глубину и пространственное соотношение нормальных и патологических структур.
Для диагностики опухолей яичников используют РКТ и МРТ.
Эндоскопические методы исследования (лапароскопия) широко используются для диагностики и лечения опухолей яичников. Хотя лапароскопия не всегда позволяет определить внутреннюю структуру и характер образования, с ее помощью можно диагностировать небольшие опухоли яичника, не приводящие к объемной трансформации яичников, «непальпируемые яичники» (рис. 16.12).
Лапароскопическая интраоперационная диагностика опухолей яичников имеет большую ценность. Точность лапароскопической диагностики опухолей составляет 96,5%. Применение лапароскопического доступа не показано у пациенток со злокачественными яичниковыми образованиями, что определяет необходимость исключения малигнизации до операции. При выявлении злокачественного роста во время лапароскопии целесообразно перейти к лапаротомии (конверсии), так как при лапароскопическом удалении цистаденомы со злокачественным перерождением возможны нарушение целостности капсулы опухоли и обсеменение брюшины, могут возникать сложности при удалении сальника (оментэктомия).
В диагностике опухолей яичников большое место отводят определению специфических биологических веществ биохимическими и иммунологическими методами. Наибольший интерес представляют многочисленные ассоциированные с опухолью маркеры – опухольассоциированные антигены (СА–125, СА–19.9, СА–72.4).
Концентрация этих антигенов в крови позволяет судить о процессах в яичнике. СА–125 обнаруживается у 78–100% больных раком яичников, особенно при серозных опухолях. Его уровень превышает норму (35 МЕ/мл) только у 1% женщин без опухолевой патологии яичников и у 6% больных с доброкачественными опухолями. Опухолевые маркеры используют при динамическом наблюдении за больными со злокачественными опухолями яичников (до, в процессе лечения и после его окончания).
При двустороннем поражении яичников для исключения метастатической опухоли (Крукенберга) выполняют рентгенологическое исследование желудочно–кишечного тракта, при необходимости применяются эндоскопические методы (гастроскопия, колоноскопия).
Дополнительные методы исследования у больных с объемными образованиями яичников позволяют не только определить оперативный доступ, но и составить мнение о характере объемного образования, от чего зависит выбор метода оперативного лечения (лапароскопия–лапаротомия).
Лечение эпителиальных опухолей
Оперативное. Объем и доступ оперативного вмешательства зависят от возраста больной, величины и злокачественности образования, а также от сопутствующих заболеваний.
Объем оперативного лечения помогает определить срочное гистологическое исследование. При простой серозной цистаденоме в молодом возрасте допустимо вылущивание опухоли с оставлением здоровой ткани яичника. У женщин более старшего возраста удаляют придатки матки на пораженной стороне. При простой серозной цистаденоме пограничного типа (низкой степени злокачественности) у женщин репродуктивного возраста удаляют опухоль на пораженной стороне с биопсией коллатерального яичника и оментэктомией. У пациенток пременопаузального возраста выполняют надвлагалищную ампутацию матки и (или) экстирпацию матки с придатками и оментэктомию.
Папиллярная цистаденома вследствие выраженности пролиферативных процессов требует более радикальной операции. При поражении одного яичника, если папиллярные разрастания располагаются лишь на внутренней поверхности капсулы, у молодой женщины допустимы удаление придатков на пораженной стороне и биопсия другого яичника (рис. 16.13). При поражении обоих яичников производят надвлагалищную ампутацию матки с обоими придатками.
Если папиллярные разрастания обнаруживаются на поверхности капсулы, в любом возрасте осуществляют надвлагалищную ампутацию матки с придатками или экстирпацию матки и удаление сальника.
Можно использовать лапароскопический доступ у пациенток репродуктивного возраста при одностороннем поражении яичника без прорастания капсулы опухоли с применением эвакуирующего мешочка–контейнера.
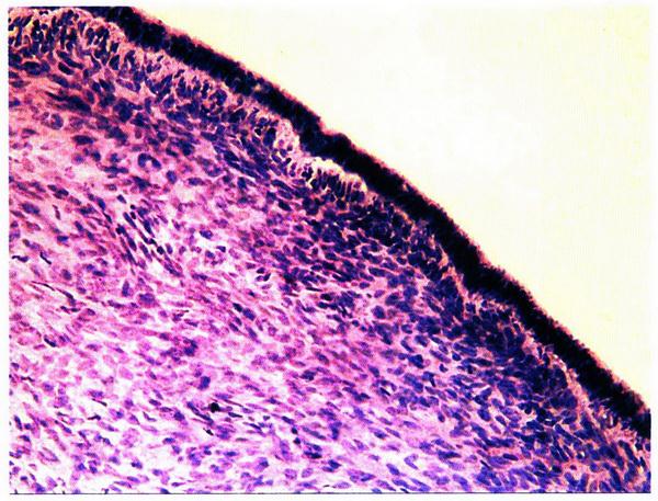
При пограничной папиллярной цистаденоме односторонней локализации у молодых пациенток, заинтересованных в сохранении репродуктивной функции, допустимы удаление придатков матки на пораженной стороне, резекция другого яичника и оментэктомия (рис. 16.14).

Рис. 16.14. Пограничная опухоль яичника (серозная пограничная цистаденопапиллома). Окраска гематоксилином и эозином, х 200 Фото О.В. Зайратьянца
У пациенток перименопаузального возраста выполняют экстирпацию матки с придатками с обеих сторон и удаляют сальник.
Лечение муцинозной цистаденомы оперативное: удаление придатков пораженного яичника у пациенток репродуктивного возраста. В пре– и постменопаузальном периодах необходимо удаление придатков с обеих сторон вместе с маткой.
Небольшие муцинозные цистаденомы можно удалять с помощью хирургической лапароскопии с применением эвакуирующего мешочка. При больших опухолях необходимо предварительно удалить содержимое электроотсосом через небольшое отверстие.
Независимо от морфологической принадлежности опухоли до окончания операции ее следует разрезать и осмотреть внутреннюю поверхность опухоли.
Показаны также ревизия органов брюшной полости (червеобразного отростка, желудка, кишечника, печени), осмотр и пальпация сальника, парааортальных лимфатических узлов, как и при опухолях всех видов.
Прогноз при оперативном лечении цистаденом благоприятный.
Лечение опухоли Бреннера оперативное. У молодых пациенток показано удаление придатков матки на пораженной стороне. В перименопаузе выполняют надвлагалищную ампутацию матки с придатками. При пролиферирующей опухоли показаны надвлагалищная ампутация матки с придатками и тотальное удаление сальника.
Более 800 000 книг и аудиокниг! 📚
Получи 2 месяца Литрес Подписки в подарок и наслаждайся неограниченным чтением
ПОЛУЧИТЬ ПОДАРОК