Рак яичников
Ранняя диагностика и лечение рака яичников остается одной из самых сложных проблем онкологии. За последнее 10–летие как в России, так и во всем мире наметилась отчетливая тенденция к росту заболеваемости раком яичников. Он стабильно занимает 2–е место в структуре опухолей гинекологической локализации (после рака шейки матки), а по смертности остается на 1–м месте.
В настоящее время этиологические факторы злокачественных опухолей яичников достоверно не определены. Существуют три основные гипотезы. Согласно первой, опухоли яичников возникают в условиях гиперактивности гипоталамо–гипофизарной системы, результатом чего становится хроническая гиперэстрогения. Эстрогены непосредственно не приводят к опухолевой трансформации клетки, но создают условия, при которых повышается вероятность возникновения рака в эстрогенчувствительных тканях. Другая гипотеза основана на представлениях о «непрекращающейся овуляции» (раннее менархе, поздняя менопауза, малое число беременностей, укорочение лактации). Постоянные овуляции приводят к повреждению эпителия коркового слоя яичника, что, в свою очередь, увеличивает вероятность возникновения аберрантных повреждений ДНК с одновременной инактивацией опухольсупрессирующих генов. Согласно третьей, генетической гипотезе, к категории лиц высокого риска относятся члены семей с аутосомно–доминантным раком молочной железы и яичников.
По данным мировой литературы, наследственные формы рака яичников обнаруживают только у 5–10% больных. Успехи генной инженерии позволили выявить ряд онкогенов, экспрессия которых ассоциирована с семейными формами рака яичников.
Существует зависимость между частотой опухолей различных морфологических типов и возрастом пациенток. Пик заболеваемости раком яичников отмечается между 60 и 70 годами жизни, но в последнее время он фиксируется на 10–летие раньше.
Рак яичников бывает первичным, вторичным и метастатическим.
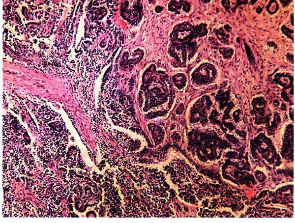
Удельная частота первичного рака составляет не более 5%. При первичном раке опухоль формируется из покровного эпителия яичника, следовательно, в ней отсутствует смешение доброкачественных и злокачественных элементов. Первичным раком называют злокачественные опухоли, первично поражающие яичник. По гистологическому строению первичный рак яичников – это злокачественная эпителиальная опухоль железистого или папиллярного строения (рис. 16.19).

Рис. 16.19. Серозный папиллярный рак яичника (серозная цистаденокарцинома). Окраска гематоксилином и эозином, х 200. Фото О.В. Зайратьянца
Вторичный рак яичников (цистаденокарцинома) встречается наиболее часто и составляет 80–85% всех форм рака яичников; развивается на фоне доброкачественных или пограничных опухолей. Наиболее часто вторичный рак яичников возникает в серозных папиллярных, реже – в муцинозных цистаденомах. К вторичным поражениям яичников относится также эндометриоидная цистаденокарцинома.
Метастатический рак яичников (опухоль Крукенберга) представляет собой метастаз из первичного очага, который чаще всего располагается в желудочно–кишечном тракте, желудке, молочной железе, щитовидной железе, матке. Метастазы из злокачественных опухолей желудочно–кишечного тракта распространяются гематогенным, ретроградно–лимфогенным и имплантационным путями. Метастазы обычно двусторонние. В 60–70% наблюдений возникает асцит. Опухоль растет очень быстро. Макроскопически метастатическая опухоль белесоватая, бугристая, на разрезе нередко волокнистая. Может быть плотной или тестоватой консистенции, что зависит от соотношения стромы и паренхимы опухоли, а также от вторичных изменений в виде отека или некроза. Микроскопически при метастатическом раке определяют перстневидные круглые клетки, наполненные слизью.
В настоящее время принята Единая международная классификация, которая отражает как стадию процесса, так и гистологический тип опухоли.
Стадию опухолевого процесса устанавливают на основании данных клинического обследования и во время операции.
Классификация рака яичников
1. Стадия I – опухоль ограничена одним яичником.
2. Стадия II – опухоль поражает один или оба яичника с распространением на область таза.
3. Стадия III – распространение на один или оба яичника с метастазами по брюшине за пределы таза и (или) метастазы в забрюшинных лимфатических узлах.
4. Стадия IV – распространение на один или оба яичника с отдаленными метастазами.
Клиническая картина.
Многообразие морфологических форм – одна из причин неоднородности клинического течения рака яичников. Патогномоничных признаков нет. Локализованные формы рака яичников, как правило, остаются бессимптомными, у молодых пациенток иногда возникает болевой синдром вплоть до выраженной картины «острого живота» (22%) в связи с возможностью перекрута ножки или перфорацией капсулы опухоли. У остальных пациенток симптоматика появляется в связи с распространенностью опухолевого процесса: интоксикация, похудение, общая слабость, недомогание, повышенная утомляемость, снижение и извращение аппетита, повышение температуры, нарушение функции желудочно–кишечного тракта (тошнота, рвота, ощущение распирания в подложечной области, тяжесть внизу живота, запор, чередующийся с поносом, дизурические явления). Живот увеличивается из–за асцита. Может быть выпот в одной или обеих плевральных полостях. Появляются признаки сердечно–сосудистой и дыхательной недостаточности, отеки на нижних конечностях.
Диагностика злокачественной опухоли может быть затруднена из–за отсутствия пагогномоничных симптомов на ранних стадиях заболевания. Злокачественные новообразования не имеют явных клинических признаков, отличающих их от доброкачественных опухолей. В связи с этим особого внимания требуют пациентки группы высокого риска по развитию опухолей яичника. Это женщины с нарушением функции яичников, длительно наблюдающиеся по поводу тубоовариальных воспалительных образований, рецидивирующих гиперпластических процессов эндометрия в постменопаузе, ранее оперированные по поводу доброкачественных опухолей яичников, пациентки с нарушением фертильной функции.
При двуручном гинекологическом исследовании чаще определяются двусторонние опухоли овальной или неправильной формы, с бугристой поверхностью, плотной консистенции, различной величины, ограниченно подвижные и (или) неподвижные. За маткой пальпируются плотные безболезненные выступающие в прямую кишку образования – «шипы».
При раке яичников, как правило, выражен асцит. Ректовагинальное исследование необходимо для определения инвазии ракового процесса в параректальную и параметральную клетчатку.
Современная диагностика злокачественных опухолей яичников включает трансвагинальную эхографию с применением акустических излучателей, обладающих высокой разрешающей способностью, и ЦДК, которое позволяет визуализировать кровоток органа. Измерение кровотока в систолу и диастолу позволяет судить о резистентности кровотока путем вычисления показателей периферического сосудистого сопротивления.
Эхографически выявляется объемное образование значительных размеров, нередко двустороннее, неправильной формы, с толстой, неровной капсулой, с множественными папиллярными разрастаниями и перегородками (рис. 16.20, 16.21). Перегородки, как правило, неодинаковой величины, в малом тазу и в брюшной полости определяется свободная жидкость (асцит).
При цветовой допплерографии в злокачественных опухолях яичника определяют множество сосудов (зоны неоваскуляризации) как по периферии, так и в центральных структурах опухоли на перегородках и в папиллярных разрастаниях с низкой резистентностью кровотока (ИР ‹0,4) (рис. 16.22, 16.23).
КТ и МРТ. На компьютерных томограммах злокачественные новообразования визуализируются как объемные образования, с неровными, бугристыми контурами, неоднородной внутренней структурой (участки жидкостной и мягкотканной плотности), утолщенной капсулой с внутренними перегородками неодинаковой толщины. КТ позволяет определить четкие границы между маткой, мочевым пузырем и кишечником и тем самым выявить спаечный процесс в малом тазу.
Лапароскопия дает возможность произвести биопсию с морфологическим исследованием гистиотипа материала и цитологическое исследование перитонеальной жидкости.
Содержание опухолево–ассоциированных антигенов в сыворотке крови больных коррелирует с течением заболевания. Наибольшее значение имеют маркеры СА–125, СА–19.9, СА–72.4. СА–125, которые обнаруживаются у 78–100% больных раком яичников. Уровень СА–125 превышает норму (35 МЕ/мл). При начальных формах опухолевого процесса специфичность СА–125 невысока, поэтому опухолевый маркер нельзя использовать в качестве скрининг–теста. Большую ценность СА–125 представляет в качестве контроля эффективности лечения распространенных форм заболевания и при последующем мониторинге. У 80–85% пациенток диагноз можно установить с помощью перечисленных методов, хотя в ряде случаев окончательный диагноз возможен во время лапаротомии (рис. 16.24).
Алгоритм обследования пациенток с подозрением на рак яичника:
1. двуручное влагалищное и ректовагинальное исследование;
2. УЗИ органов малого таза с ЦДК;
3. УЗИ яичникового образования в режиме 3D;
4. УЗИ брюшной полости, щитовидной железы, молочной железы;
5. РКТ;
6. МРТ;
7. маммография;
8. рентгеноскопия, гастроскопия, ирригоскопия, колоноскопия;
9. рентгеноскопия органов грудной клетки;
10. хромоцистоскопия.
Целесообразно произвести рентгеноскопию органов грудной клетки для исключения метастазов.
Стадию злокачественного процесса, кроме перечисленных методов, позволяет уточнить хромоцистоскопия (особенно при больших неподвижных опухолях яичника). Больных с диагностированной или подозреваемой опухолью яичника (независимо от стадии) необходимо оперировать.
Лечение.
При выборе тактики лечения больных раком яичников следует учитывать стадию процесса, морфологическую структуру опухоли, степень дифференцировки, потенциальную чувствительность данного гистиотипа опухоли к химиотерапии и лучевому лечению, отягощающие факторы, возраст больной, иммунный статус, хронические заболевания как противопоказание к проведению того или иного метода лечения.
Лечение рака яичников всегда комплексное. Ведущим, хотя и не самостоятельным, методом остается хирургический: экстирпация матки и придатков и экстирпация больного сальника. При чревосечении используют нижнесрединную лапаротомию. Это обеспечивает выведение опухоли в рану без нарушения ее капсулы, создает условия для тщательной ревизии органов брюшной полости, дает возможность при необходимости выполнить операцию в полном объеме.
У некоторых больных (ослабленных, пожилых, с выраженной экстрагенитальной патологией) можно ограничиться надвлагалищной ампутацией матки с придатками и субтотальной резекцией большого сальника. Большой сальник обязательно удаляют и подвергают морфологическому исследованию. Удаление сальника предотвращает развитие в последующем асцита (рис. 16.25).
У больных молодого возраста со злокачественными новообразованиями допустимы удаление придатков матки на пораженной стороне, резекция другого яичника и субтотальная резекция большого сальника. Подобные операции можно выполнять только больным со злокачественной трансформацией яичника I стадии. При II стадии рака яичников производят радикальную операцию, которая предусматривает экстирпацию матки с придатками и резекцию сальника.
Точно установить стадию заболевания можно только при тщательной ревизии брюшной полости. Обязательно исследуют перитонеальную жидкость, производят ревизию парааортальных лимфатических узлов. Увеличенные лимфатические узлы пунктируют или осуществляют их биопсию для цитоморфологического исследования. При сомнении в операбельности больной хирургическое вмешательство целесообразно выполнить на 2–м этапе, после химиотерапии, которая повышает радикальность оперативного лечения в последующем.
Более 800 000 книг и аудиокниг! 📚
Получи 2 месяца Литрес Подписки в подарок и наслаждайся неограниченным чтением
ПОЛУЧИТЬ ПОДАРОК