5. Скелеты новгородских посадников Дмитрия Мирошкинича и Семена Борисовича (из погребений начала XIII в.)

В связи с реставрационными работами в Георгиевском соборе Юрьева монастыря в Новгороде историком и археологом М. К. Каргером летом 1933 г. были проведены раскопки. Ниже уровня второго пола собора были вскрыты погребения крупных новгородских деятелей, в частности нескольких посадников XII и XIII столетий. Вопреки запрещению христианской церкви в могилы этих лиц были положены (по языческому обряду) мечи и сосуды с пищей.

Сопоставив памятники материальной культуры, обнаруженные в соответствующих погребениях, с указаниями летописи Юрьева монастыря и с антропологическими данными, установленными Г. И. Петровым, М. К. Каргер мог отождествить найденные скелеты с определенными историческими фигурами. Совместно с А. Е. Рубашевой нами были исследованы довольно полные скелеты Дмитрия Мирошкинича и Семена Борисовича — двух посадников, похороненных в начале XIII в.

Прежде чем попытаться реконструировать в какой-то мере облик исторических фигур, чьи скелеты мы исследовали, необходимо вспомнить своеобразие этой далекой, но бурной исторической эпохи.

В Новгородской земле около 11 столетий тому назад было положено начало Русскому государству. Овеянные дыханием глубокой старины, стоят и ныне некоторые архитектурные памятники древнейшего русского города-музея, где почти каждая улица имеет свою богатую историю политических выступлений, столкновений и сражений.

Город на всем протяжении его летописной истории имел замощенные улицы, дренажные сооружения (водоотводы для борьбы с заболачиваемостью), специальный «Устав о мостах».[154] Его украшали прекрасные соборы и другие достаточно известные памятники, центральная часть города была опоясана оборонительной стеной и башнями — кремлем.

Выгодное торговое положение Новгорода привлекало к нему людей с инициативой, в частности ремесленников, купцов и «добрых молодцов». В Новгород стекались люди со всех концов Руси. Чужеземными купцами бывали постоянно полны немецкий и готский дворы в Новгороде.

В отличие от других земель Древней Руси, где хозяевами были князья-феодалы, в Новгороде установилась своеобразная феодальная боярско-купеческая республика. Она умела воевать и побеждать, но все же чаще «рублем, чем дубьем» расчищала себе новые пути в другие земли.

Как известно, хозяином Великого Новгорода было вече, в котором могли принимать участие все свободные новгородцы. Как общее правило, руководили вечем крупнейшие боярские фамилии, богачи, нередко враждовавшие друг с другом. Раздоры и ссоры часто сопровождались не словесной перебранкой, а свалкой, а иногда и сражениями. С площади, где собиралось вече, сражение распространялось на город, где лилась кровь, возникали пожары.

Кровопролитие возникало не только при раздорах в боярской среде. Своеволие бояр и богачей нередко приводило к восстанию смердов и «черных вечевых мужиков», к которым присоединялось немало других — новгородцев и пришлых.

В Новгороде вече, руководимое наиболее известными боярскими родами, выбирало князя, посадника, тысяцких и других. При этом своеобразном для всей Древней Руси социально-политическом строе, существовавшем только в Новгороде, великие князья уже с начала XII в. не были здесь хозяевами, хотя и пытались отстаивать свои былые права. Так, князь Всеволод Мстиславович (один из потомков Владимира Мономаха) был в 1136 г. в результате восстания изгнан по обвинению в том, что он не заботился о смердах.[155] C этого времени часто сменялись выборные князья в Новгороде. Смена посадников нередко была связана с крупными волнениями, убийством посадников, вызвавших недовольство.

Новгородские вольности были завоеваны в условиях постоянных столкновений, часто классовой борьбы в самом Новгороде. Она вызывалась эксплуатацией смердов и городских ремесленников «большими людьми» — боярами и богачами-купцами. Так, в 1209 г. новгородцы восстали против сторонников князя Всеволода Мстиславовича, в частности против жестокого и развращенного ростовщика-посадника Дмитрия Мирошкинича и его братьев. Дмитрий Мирошкинич был убит в 1209 г., огромное имущество Мирошкиничей было разграблено и разделено между новгородцами.

Скелет Дмитрия Мирошкинича был найден в фамильном склепе. В одной из гробниц находился скелет его отца — посадника Мирона Нездинича, крупного новгородского политического деятеля, в старости постригшегося в монахи и умершего в 1203 г.

Судя по состоянию костно-суставного аппарата, не имевшего проявлений старения, и черепным швам (во многих участках хорошо прослеживаемым), Дмитрию Мирошкиничу было около 36–40 лет.

Рельеф костей, места прикрепления сухожилий, мышц, связочного аппарата были очень отчетливо выражены, что свидетельствует о физической силе.

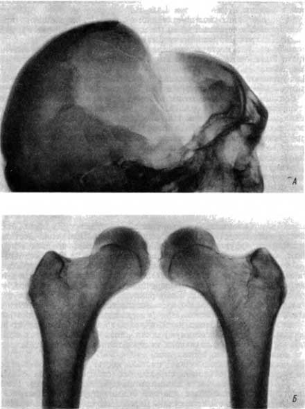
Заслуживают особого внимания некоторые конституционально-эндокринные особенности, о которых можно судить по состоянию его скелета. Большие лобные пазухи вызывали резкое выступание лобной кости в надбровных ее участках (рис. 124, А). Наличие при этом мощного окостенения места прикрепления выйной связки к наружному затылочному возвышению характерно для гиперфункции передней доли гипофиза. Гиперфункция гипофиза имелась уже в юности, о чем свидетельствует сохранение во всех метаэпифизарных зонах отчетливо выступающей поперечной пластинки (рис. 124, Б). Если бы для определения возраста в нашем распоряжении были одни лишь трубчатые кости, можно было бы сделать неправильный вывод, что мы имеем дело со скелетом 19—20-летнего. Однако другие кости, в частности череп, говорили о том, что это скелет зрелого человека.

Рис. 124. А — рентгенограмма черепа посадника Дмитрия Мирошкинича, убитого во время восстания; Б — сохранение поперечного тяжа в головке обеих бедренных костей.

Наличие такой ювенильной особенности у взрослого человека говорит о субгенитализме.

Своеобразие аномальной «эндокринной формулы» у Дмитрия Мирошкинича можно представить следующим образом. Вследствие достаточно отчетливой гиперфункции передней доли гипофиза, являющейся, как считают, «мотором сексуальности», половые железы активировались ранее обычного. Однако в дальнейшем, еще в молодости, в период расцвета сил, функция половых желез была неполноценной, о чем свидетельствует отчетливое сохранение поперечной пластинки (поперечного тяжа) почти во всех метаэпифизах. Если рано пробудившаяся половая потенция не в меру была использована в молодости, то она при наличии субгенитализма рано истощается. При рано наступившем понижении потенции психическая эротизация часто в какой-то мере компенсирует недостаточную половую (сексогенную) эротизацию. В этих случаях при недостаточной работе сдерживающих центров возможны те или иные извращения для повышения эротизации.

Заслуживает внимания его III пястная кость. В ее головке имеется много кистовидных очажков, окруженных склеротическими ободками (рис. 125, А и Б). Это следы множественных повторных травм. Головка III пястной кости выступает кпереди больше других пястных костей, особенно когда кисть сжата в кулак. Перед нами следы ударов кулака по плотному объекту (скорее всего голове), к которым Дмитрий Мирошкинич, очевидно, часто прибегал.

Рис. 125. А — III пястная кость со множественными кистовидными изменениями в головке; Б — рентгенограмма III пястной кости; мелкие и довольно крупные кистовидные изменения в головке.

Эти данные, как нам кажется, позволяют понять и объяснить те лаконические строки летописи, которые посвящены характеру посадника Дмитрия Мирошкинича и причинам его убийства. Отсутствие необходимой сдержанности и отклонения в эндокринной системе у Дмитрия Мирошкинича, жестокого, развращенного и жадного человека, получили возможность особенно ярко проявиться благодаря высокому общественному положению, которое он занимал. Все это проливает известный свет на обстоятельства, которые в какой-то мере могли способствовать убийству посадника.

Он был убит. Смерть наступила от нескольких ударов рубящим орудием (края костных ран были гладкие). Два удара были нанесены по голове, из них один безусловно смертельный. Рассечение костей черепа вызвало расхождение черепных швов (рис. 124, А). Еще один удар рубящим оружием был нанесен по кисти, этим ударом были гладко срезаны части оснований двух основных фаланг.

Убитый был все же похоронен с почетом в Георгиевском соборе Юрьева монастыря, в фамильной усыпальнице, рядом со своим отцом. Надо полагать, что восстание, окончившееся убийством Дмитрия Мирошкинича, привело к власти людей, считавших необходимым воздать должное, быть может, не столько убитому, сколько его высокому сану.

Как было указано, в том же соборе была вскрыта гробница, где, как выяснили М. К. Каргер и Г. И. Петров, был похоронен в 1230 г. другой новгородский политический деятель — посадник Семен Борисович. Гробница представляла кирпичный склеп, облицованный розовой штукатуркой. Казалось бы, что погребение в соборе должно было свидетельствовать о том, что при исполнении последнего долга имелось полное признание заслуг покойного посадника. Однако и он не умер, а был убит во время восстания 1230 г. Кроме того, при вскрытии гробницы оказалось, что на ногах ниже колен лежит железная цепь из 5 звеньев. Это были не вериги, а оковы, правильнее по отношению к мертвому — символ оков. Необходимо было найти какое-то удовлетворительное объяснение, тем более что даже беглый осмотр скелета говорит, что Семен Борисович был за много лет до смерти полным инвалидом, почти беспомощным.

Он погиб в пожилом возрасте, старше 60 лет, если исходить из состояния черепных швов. Все 3 сегмента грудины полностью слились. Окостенели хрящи ребер в области их прикрепления к грудине. Это наступает после 60 лет. Состояние тех костей конечностей, которые не были вовлечены в распространенный патологический процесс, говорит о том же или несколько старшем возрасте.

Весь позвоночник оказался частично патологически измененным, частично со следами глубокой старости.

На нижних суставных поверхностях атланта видны отчетливо выраженные краевые костные разрастания; то же самое на суставной фасетке для зуба II шейного позвонка. Над его зубом в виде высокого венца — большое костное разрастание (рис. 126). Краевые костные разрастания имеются и на суставных поверхностях для атланта. Проявления тяжелого деформирующего спондилоза и спондилоартроза во всех шейных позвонках. Два нижних шейных позвонка благодаря полному окостенению передней продольной связки совершенно неподвижны. Вообще же весь шейный отдел позвоночника в результате вышеуказанных патологических изменений был почти обездвижен.

Рис. 126. Краевые костные разрастания на нижних суставных поверхностях атланта и верхних суставных отростках II шейного позвонка; тяжелый деформирующий артроз в суставе зубовидного отростка II шейного позвонка и на его фасетке на атланте посадника Семена Борисовича.

Весь грудной отдел позвоночника благодаря полному окостенению передней продольной связки был совершенно обездвижен; анкилоза в межпозвонковых суставах при этом нет. Перед нами картина тяжелейшего деформирующего спондилоза (рис. 127, А), местами и деформирующего спондилоартроза. Изменения почти полностью повторяют таковые у хана (рис. 114, А и Б).

Рис. 127. А — тяжелейшая картина деформирующего спондилоза, сковывающего на значительном протяжении позвоночник; местами окостенела и задняя продольная связка; Б — остеомоподобное окостенение передней продольной связки на III поясничном позвонке; окостенение желтой связки; спондилоартроз; В — тот же позвонок на рентгенограмме в боковой проекции.

Кроме того, имелся деформирующий артроз в реберно-позвоночных суставах с очень значительными краевыми костными разрастаниями на головке ребер.

Тяжелый деформирующий спондилоз и артроз в поясничных позвонках местами характеризовался остеомоподобным окостенением передней продольной связки (рис. 127, Б и В). Окостеневшие участки этой связки имели почти такие же размеры, как и тела этих позвонков.

Деформирующий артроз был резко выражен в главном и добавочном плечевом суставах. Кроме того, резко был выражен деформирующий артроз в локтевом, в лучезапястном и в дистальном лучелоктевом суставах. В дистальных же эпифизах бедренных костей были лишь умеренно выраженные проявления старения. На головке таранной кости имелся экзостоз, затруднявший ношение обуви, плотно облегающей стопу.

На головке I плюсневой кости видны множественные кругловатые и неправильной формы участки деструкции, окруженные слабо выраженной склерозированной каймой (как на рис. 55, А и Б; 129). При этом отсутствуют краевые костные разрастания. Эти изменения при наличии соответствующей клинической картины позволили бы поставить диагноз подагры. По своему положению посадник, конечно, мог себе позволить участвовать в пирах с обильным возлиянием и чрезмерным поглощением белковой пищи. Вполне возможно, что пиры были чем-то обычным для него.

В двух ребрах имеются следы старого, давно зажившего перелома.

Чрезвычайно тяжелые изменения определяются в скелете кисти. В некоторых коротких трубчатых костях это проявления старения, причем резко выраженные. В частности, в концевых и средних фалангах имеются Эберденовские и Бушаровские узлы (рис. 128). В некоторых фалангах отмечены явные деструктивные изменения. Кроме того, дистальный межфаланговый сустав в одном пальце и два пястнофаланговых сустава анкилозированы (рис. 128). В дистальном межфаланговом суставе V пальца и в пястнофаланговом суставе IV пальца костный анкилоз не связан со смещением костей, в пястнофаланговом суставе III пальца анкилоз произошел после резкого подвывиха в суставе (рис. 128 и 129).

Рис. 128. Короткие трубчатые кости обеих кистей со старческими изменениями (узлами Эбердена и Бушара), проявления первично-хронического полиартрита с анкилозом и подвывихом.

Рис. 129. Характерные для подагрического артрито-артроза изменения на головке I плюсневой кости знатного мужчины из Великого Новгорода; сохранение поперечного тяжа в основании I плюсневой кости.

Изменения в суставах кисти характерны для первично-хронического полиартрита, представляющего весьма своеобразное заболевание.

Все ранее описанные патологические изменения говорят о тяжелой и многолетней инвалидизации Семена Борисовича. Указанные изменения в суставах кисти, свидетельствуя о том же и усугубляя тяжелую инвалидность и почти полную беспомощность Семена Борисовича, позволяют раскрыть и другие весьма характерные его особенности.

Первичный хронический полиартрит с подвывихами и анкилозами в суставах кисти (а часто и стопы) представляет редкое заболевание, наблюдаемое почти исключительно у женщин. Заболевание возникает при наличии резко выраженных эндокринных дисгармоний, в частности раннего выпадения деятельности половых желез. Таких преждевременно состарившихся женщин с деформированными узловатыми и крючковатыми пальцами в народных сказках называли «бабой-ягой», которой пугали детей. Весьма возможно, что такие женщины не имели надежд понравиться и выйти замуж вследствие исключительного безобразия, пугающего всех. Если же они выходили замуж до того, как возникало обезображивание суставов, то все же у них редко была возможность иметь своих детей. Вряд ли они любили чужих детей. Вся психика таких женщин в те отдаленные времена обычно резко менялась. Отталкиваемые почти всеми, они замыкались и нередко ожесточались. В русских сказках говорится про «бабу-ягу», но нет упоминания о «мужике-яге». Действительно, мужчины очень редко страдают первично-хроническим полиартритом с характерными вышеописанными подвывихами и анкилозами. Однако если это все же встречается, то, во-первых, не в молодом, а в пожилом возрасте; во-вторых, хотя у таких мужчин появляются отчетливые эндокринные сдвиги и женоподобные особенности (в отношении растительности, отложения жира, голоса и т. д.), это все же происходит, когда у них уже имеется семья и близкие люди. Их психика не меняется, ибо семья и близкие привыкли к медленно возникающим и постепенно нарастающим проявлениям заболевания и почти не замечают обезображивания, которое к тому же никогда не бывает столь отталкивающим, как у женщин, у которых в молодости возникло это заболевание.

За много лет до смерти описанные заболевания сделали Семена Борисовича физически немощным, «тяжелым» инвалидом. Он, однако, мог сохранить ум, свой большой государственный опыт. Любя Новгород, он, быть может, даже очень страдая от своих недугов, не оставался дома, когда вече решало тот или иной важный вопрос. Едва передвигаясь, он все же, быть может, считал необходимым явиться на вече. И тогда он выступал. Его «бабий голос» звучал противно, но умудренный многолетним опытом бывший посадник говорил наверно дельно. Когда он поднимал к небесам свои пугающие пальцы, предрекая «божью кару» и горе, если его не послушают, то он, возможно, добивался своего. Не исключено, что опыт непослушания был горьким, а потому и памятным. Быть может, все это и привело к тому, что, когда Семен Борисович выступил против участников восстания в 1230 г., его убили.

Помня его заслуги и не желая озлоблять его друзей и почитателей, Семена Борисовича похоронили с почетом. Однако суеверный страх даже перед мертвым посадником, боязнь, что он из гроба может подняться и оттуда вновь грозить своими страшными пальцами, предвещая «кары небесные», заставили наложить цепи даже на мертвого.

Изучая в 1933 г. разрозненные кости, найденные в погребениях в Георгиевском соборе, А. Е. Рубашева установила на первых плюсневых костях одного мужчины следы, типичные для подагры (рис. 129). В этом соборе хоронили только знатных людей. Не исключено, что постоянные пиры, неимоверно большое количество съедаемой белковой пищи, огромное количество выпиваемого дорогого вина приводили к возникновению подагрического артрита. Теперь это заболевание почти всюду представляет исключительную редкость (см. главу III, 18).

Более 800 000 книг и аудиокниг! 📚

Получи 2 месяца Литрес Подписки в подарок и наслаждайся неограниченным чтением

ПОЛУЧИТЬ ПОДАРОК